断牙

孩子牙断裂怎么办请把断牙放在牛奶或生理盐水来医院再接
图片尺寸1080x720
酒店游泳池摔断牙索赔6万元,酒店该不该赔?在线等!
图片尺寸762x500
女孩一次意外摔断牙 中国太保免责条款让家长
图片尺寸500x345
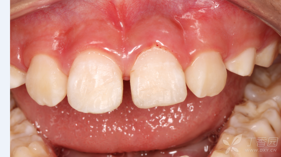
复杂牙外伤的断牙再接活髓保存一例
图片尺寸1080x644
断牙不可怕及时治疗修复效果好
图片尺寸1080x1920
孩子断牙千万不要扔掉!它的用途很多人都不知道!
图片尺寸700x376
断牙再接2
图片尺寸1407x891
第一视角下的断牙再接
图片尺寸2048x1581
复杂牙外伤的断牙再接活髓保存一例
图片尺寸1080x720
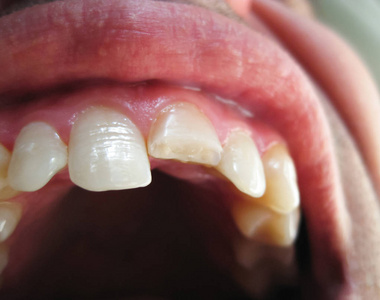
牙齿断了在一个男人嘴里断了上切牙男子向牙医展示口腔断牙的治疗
图片尺寸700x544
断牙的治疗
图片尺寸700x504
断牙会自然愈合吗
图片尺寸1920x1080
断牙要拔吗?
图片尺寸636x294
儿童断牙修补!让你的童年没有遗憾!
图片尺寸800x1068
七岁断牙再接一例
图片尺寸1147x644
男子向牙医展示口腔.断牙的治疗照片
图片尺寸421x300
断牙日志 - 知乎
图片尺寸1279x1707
断牙再接2
图片尺寸1502x910
男子向牙医展示口腔.断牙的治疗照片
图片尺寸380x300
门牙断牙修补
图片尺寸1152x720