早期龋齿

龋齿是怎么形成的
图片尺寸500x469
龋齿
图片尺寸600x399
龋齿是怎么回事?
图片尺寸1019x709
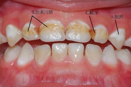
龋齿深浅程度判断图片
图片尺寸800x533
邻面龋与牙线_龋齿_龋齿日常护理 - 好大夫在线
图片尺寸750x437
龋齿初期图片
图片尺寸515x480
龋齿的图
图片尺寸969x500
了解一下龋齿症状严重吗
图片尺寸1024x884
牙齿种植是否6767在生活中或许因为各种各样的原因,比如,早期的龋
图片尺寸382x272
这是轻度龋齿还是中度?求解答感谢!
图片尺寸527x800
龋齿图片_有来医生
图片尺寸750x500
龋齿给宝宝带来这3大坏处,想牙齿健康,一定要掌握正确刷牙方法
图片尺寸449x300
牙齿上有个黑点,是不是龋齿,能不能确定?
图片尺寸640x433
龋齿,虫牙,蛀牙
图片尺寸1700x1134
严重龋齿的图片_有来医生
图片尺寸738x500
龋齿的那些修复事
图片尺寸640x334
龋齿1岁宝宝牙齿这样了,怎么办,严重吗?
图片尺寸576x1024
因为龋齿而出现了小黑点,一般可以根据其发展程度不同进行划分.
图片尺寸448x274
龋齿
图片尺寸770x500
龋齿图片大全
图片尺寸336x300