显微镜下的白细胞

显微镜下的人体白细胞
图片尺寸720x478
镜下白细胞
图片尺寸1080x1440
临床基础检验技术 #白细胞形态鉴别 #显微镜下的世界
图片尺寸1080x1081
400倍显微镜下尿液标本的白细胞.
图片尺寸1100x1131
显微镜下白细胞是什么样的
图片尺寸534x296
镜下白细胞辨别 - 知乎
图片尺寸1536x2048
400倍显微镜下尿液标本的白细胞.
图片尺寸1100x1131
白细胞变形计
图片尺寸553x557
写美篇这是在10x100倍的显微镜下看到红细胞和白细胞
图片尺寸3021x4029
白细胞的研究是在实验室显微镜下观察免疫系统的细胞.
图片尺寸1200x800
显微镜,在下面,免疫学,白血病,法学
图片尺寸1100x1100
显微镜下的白细胞
图片尺寸720x404
扫描式电子显微镜下的人类全血.除了不规则形状的白细胞,还可以看到
图片尺寸250x311
白细胞
图片尺寸1160x1100
新鲜精液标本的显微镜检查无法区分生精细胞,白细胞,和脱落上皮细胞等
图片尺寸640x480
显微镜下观察到的人体白细胞形态图
图片尺寸640x416
【新手*请关照】请问这些是白细胞吧?
图片尺寸1392x1040
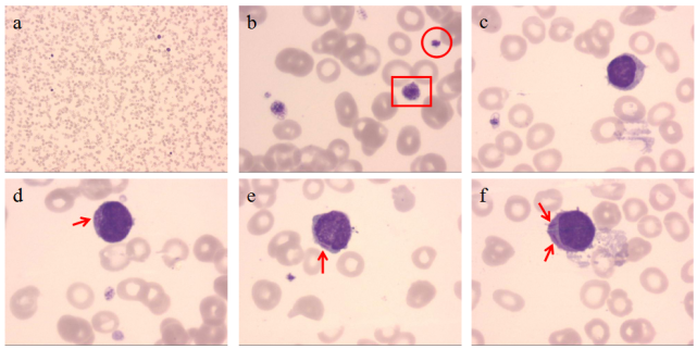
同样的白细胞危急值,同样的淋巴细胞比例升高,看似相同,实则不然_腾讯
图片尺寸662x655
妇科检查白细胞什么意思
图片尺寸640x584
尽管由于患者白细胞总数下降,在显微镜下能计数到的细胞数很少,但最终
图片尺寸641x321