晶状体ct

晶状体移位ct病例
图片尺寸907x891
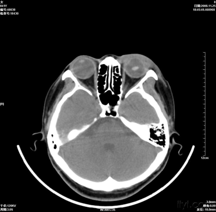
晶状体移位ct病例
图片尺寸906x891
晶状体移位ct病例
图片尺寸905x891
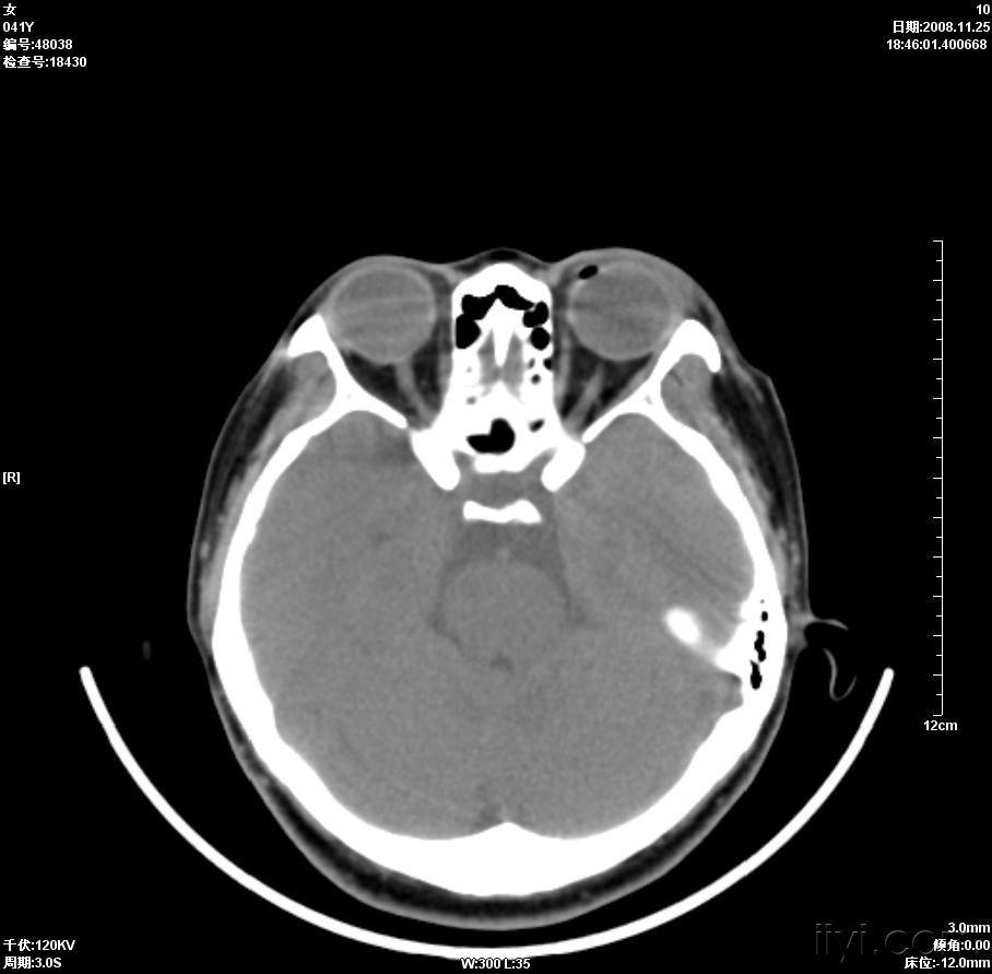
下面再发二例ct图片
图片尺寸640x903
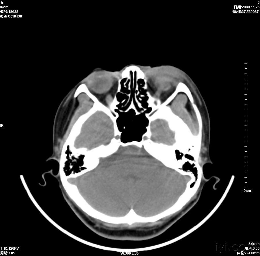
晶状体移位ct病例
图片尺寸908x891
ct示左侧眼球晶状体前可见条状高密度异物
图片尺寸1001x596
让近视的脚步停下来后巩膜加固术
图片尺寸1004x1060
头部的ct扫描显示右眼内晶状体脱位.
图片尺寸624x624
入院后行眼眶ct:左眼球损伤,球内出血,晶状体位置异常.
图片尺寸1080x810![晶状体混浊之——经典影像 [精华]](https://imgs.wantubizhi.com/img/A1A61BAA66193547F3A6DD7D8EE527E9DE202E41DEC225EA875E960B96E91AB752A8F3BD41DA4DF7BD8B6C81CB4696CAEF6D548E41E1DDCB771C62BEC4C3C302B6F614801C1E72FDE6062623AD76E5AAFF803D028BFFC98CD9C7676CC63BED06)
晶状体混浊之——经典影像 [精华]
图片尺寸1180x1080
入院后行眼眶ct:左眼球损伤,球内出血,晶状体位置异常.
图片尺寸1080x810
ct lucia601p人工晶体初步临床应用体会 李朝辉教授
图片尺寸2133x1200
ct显示左眼球形态
图片尺寸660x660
外层依次为脉络膜,睫状体和虹膜,巩膜和角膜组成,球内容物包括晶状体
图片尺寸851x397
剧痛无比…_左眼_角膜_晶状体
图片尺寸512x512
最近一周多人因它受伤丨健康过大年
图片尺寸511x279
眼外伤的诊断处理 华西:王瑞林
图片尺寸799x599
肿瘤很有特异性,因为正常的眼睛,比如此病人的左侧眼球,里面是晶状体
图片尺寸845x557
周边前房深度1/4ct,虹膜纹理欠清,瞳孔直径约6×7mm,晶状体表面课件
图片尺寸402x218
ct闪烁体探测器胶水应用的探讨
图片尺寸640x317