智齿

脸肿是怎么回事 脸肿了一般几天消肿-起航号
图片尺寸1269x846
智齿是由于人类颌骨缺乏足够的空间来容纳所有的牙齿,导致最后萌出的
图片尺寸2280x1280
原来拔智齿也有最佳年龄?医生提醒:这5类人谨慎拔智齿
图片尺寸640x422
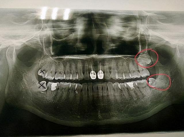
战胜恐惧最好的办法,就是面对恐惧,拔了智齿__财经头条
图片尺寸600x641
智齿变废为宝.上半口的照片,我就不放了下半口:已经整齐的下 - 抖音
图片尺寸683x442
为什么牙医建议尽量不拔智齿?不疼可以不拔吗?-口腔医院新闻-398口腔
图片尺寸600x400
人类为什么会长智齿,人为什么会长智齿-doge币中国
图片尺寸374x260
阻生智齿(尽头牙)的危害 - 美篇
图片尺寸690x710
拔4颗智齿_口腔健康_什么值得买
图片尺寸864x1152
【图】超声骨刀在智齿拔除中的应用 -口腔科-医学名词-39疾病百科
图片尺寸408x750
#这6种智齿建议拔掉##智齿不疼还用拔吗#
图片尺寸690x1737
原来"拔智齿"也是有最佳年龄的?医生提醒:这6类人谨慎拔智齿_患者_进
图片尺寸570x408
拔智齿
图片尺寸1920x1440
哪些智齿一定会离你而去?__财经头条
图片尺寸640x427
#想象中和实际中的智齿##春日cityhappy计划#
图片尺寸690x666
医生一定要让拔智齿的真相是什么?_手机搜狐网
图片尺寸416x718
人为何会长智齿 人为什么会会长智齿-琢舟百科
图片尺寸1280x1280
在杭口拔一颗普通智齿 - 知乎
图片尺寸1077x1281
立事牙多少钱一颗,拔个智齿需要多少钱 - 冷求网
图片尺寸640x485
立事牙多少钱一颗,拔个智齿需要多少钱 - 冷求网
图片尺寸640x479