智齿在哪里

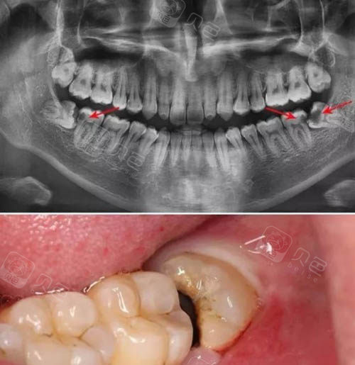
形态不一的下颌阻生智齿
图片尺寸916x634
智齿人人都会长吗?
图片尺寸720x1560
智齿是什么智齿有哪些危害
图片尺寸600x861
智齿位置图
图片尺寸600x400
一年一颗智齿,最后一颗记忆犹未深刻.在那漫 - 抖音
图片尺寸1918x880
长春拔一个智齿牙多少钱?
图片尺寸492x500
智齿必须要拔吗
图片尺寸1080x1528
72全网智齿蕞全指南很长都是干货
图片尺寸1078x1216
5位牙友拔牙经历告诉你柳州拔智齿多少钱以及拔牙哪家好
图片尺寸500x515
良心医生不建议拔智齿是因为拔智齿后遗症太多了吗
图片尺寸600x323
大概有80%的人都不知道智齿的那些事,看完给跪了
图片尺寸640x437
【位置不良的智齿为什么要在最好的时机尽早拔除?】 - 好大夫在线
图片尺寸1086x1080
关于智齿的那些事儿
图片尺寸1080x608
智齿拔不拔疼不疼拔牙费用拔牙后影响一次性说清楚
图片尺寸600x420
智齿.jpg
图片尺寸450x406
智齿在哪里最外面的牙横着在肉里
图片尺寸1282x972
80%的智齿都要拔掉,除非是这3种情况.
图片尺寸586x410
身体健康丨拔智齿能不能瘦脸?
图片尺寸1080x608
智齿什么年龄段会长 智齿是一下子长出来的吗
图片尺寸600x400
智齿到底要不要拔?你想知道的都在这!
图片尺寸604x457