智齿盲袋

五官科 智齿冠周炎 > 用药 通过本文的详细介绍,相信大家对智牙
图片尺寸330x327
在急性期时,可行冠周盲袋冲洗,把盲袋里的脏东西都清理干净,辅以消炎
图片尺寸640x427
一旦智齿冠周炎发作,轻者口服磺胺类药物,重者残渣聚齐的盲袋,滋生
图片尺寸495x303
20岁小伙被一颗智齿"撂倒",不但要住院还需要手术治疗
图片尺寸640x387
为什么智齿总是横着长
图片尺寸670x503
导致食物残渣堆积,时间一久,刺激牙龈边缘,加上智齿倾斜,容易形成盲袋
图片尺寸450x338
一直发炎的智齿建议赶紧拔但智齿疼是挂口腔内科还是外科
图片尺寸426x296
的症状常常会由于智齿萌出不完全,牙冠的一部分被牙龈包绕,形成盲袋
图片尺寸800x450
一天一个口腔小知识|关于智齿盲袋7815 07什么是智齿盲袋 74
图片尺寸960x1280
智齿为什么叫智齿
图片尺寸658x493
智齿为什么会有疼痛?口腔医生和你聊一聊_腾讯新闻
图片尺寸600x327
效果会更明显一些,冲出牙龈盲袋中的脓液如果智齿冠周炎经常发作,建议
图片尺寸1080x1202
1,预防智齿冠周炎及颌面部间隙感染萌出不正的智齿,通常会有盲袋覆盖
图片尺寸375x500
复工拔除下颌双侧智齿
图片尺寸640x579
智齿"盲袋"引来祸患
图片尺寸640x426
阻生智齿的术前阻力分析:软组织阻力
图片尺寸599x655
发现自己"喜提盲袋"医生告诉我,这是『智齿冠周炎』目前没办法处理
图片尺寸1080x810
智齿可能存在的十大隐患_阻生齿_阻生齿介绍 - 好大夫在线
图片尺寸750x1109
建议你去医院检查一下,按照你说的来看有盲袋存在,易引发智齿冠周炎
图片尺寸440x734
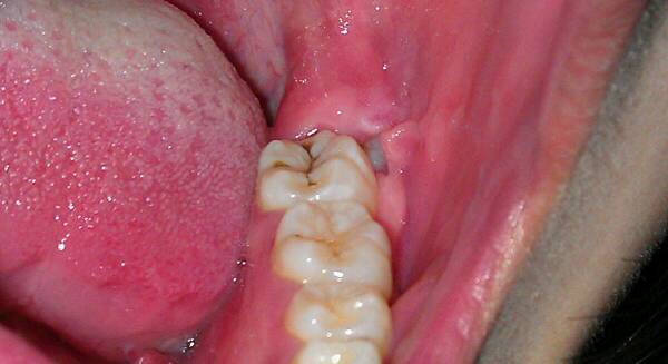
a处为智齿,b处为牙冠与牙龈形成的盲袋丨wikipedia
图片尺寸640x576