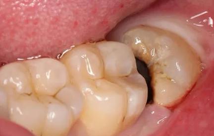
智齿蛀牙

我又仔细的检查一遍,发现智齿附近几颗牙因为紧挨着智齿蛀牙均被感染
图片尺寸970x650
你的虫牙真的是虫子造成的吗
图片尺寸640x427
4,引发蛀牙智齿生长在最内侧,且可能没有咬合牙的关系,导致日常清洁不
图片尺寸432x274
智齿图片大全 (11)_有来医生
图片尺寸533x400
所以一旦智齿出现发臭现象,一定要及时检查是否蛀牙或者已经有冠周炎!
图片尺寸600x367
智齿这么磨人难怪牙医动不动就要拔智齿
图片尺寸640x439
智齿旁边的牙龈一直发炎,要不要把智齿拔掉呢?口腔医生和你说说
图片尺寸1000x665
跟了我20几年的智齿,没想到会蛀成这样,再见了!
图片尺寸720x1280
智齿烂个大洞,拔了!
图片尺寸1728x1080
智齿吃凉的就痛医院检查龋齿要上下两颗都拔掉拔吗
图片尺寸1272x1702
智齿一定要拔吗?拔牙瘦脸吗?
图片尺寸1080x720
1,如果口腔有蛀牙,炎症,牙结石,在进行拔智齿的时候就要进行规范治疗
图片尺寸640x425
龋齿也是病,可不能掉以轻心!看看你的牙是如何一步步被腐蚀的
图片尺寸1282x894
后半年拔掉两颗智齿一颗完全龋坏一颗超长带弯钩
图片尺寸500x351
网友1384694提问智齿蛀牙了补好还是拔掉好
图片尺寸431x431
智齿蛀掉了前天去医院拔了
图片尺寸1080x810
牙齿上的黑斑会不会慢慢发展成蛀牙?
图片尺寸402x404
蛀烂的智齿终于拔了有图慎入
图片尺寸540x960
蛀牙:如果智齿蛀牙,除了咬合面不深的蛀牙可以补之外,那些邻接面蛀牙
图片尺寸640x344
因为智齿这张帅气的脸毁容了,你的智齿还好吗?
图片尺寸640x425