智齿ct

家人们,来看看我的阻生智齿
图片尺寸1080x1920
拔智齿的那些事从注意事项到真实经历
图片尺寸996x1549
真的难受第一天睡不着,第二天不到四点就醒了,这是我最后一颗阻生智齿
图片尺寸1080x1440
喜提四颗智齿
图片尺寸2048x1536
最难拔的智齿
图片尺寸1080x809
为什么医生总让你拔智齿?看完你就明白-搜狐大视野-搜狐新闻
图片尺寸1920x860
全麻拔四颗智齿
图片尺寸2048x1536
郑xx20200321智齿拔除前检查ct18338871693
图片尺寸800x437
刘xx 20201003 智齿cbct 182xxxx2992_手机搜狐网
图片尺寸1080x547
去医院拔智牙,拍了口腔全景又要我拍ct. 大家帮我看看需要拍吗?
图片尺寸1200x1600
拔牙记深圳人民医院使用医保拔智齿经验
图片尺寸2000x1500
干xx20210121智齿cbct158xxxx9099
图片尺寸1080x547
26号去拍了曲断(曲面断层)发现口腔里还有四颗智齿,只能更改方案,拔牙
图片尺寸1707x1280
图是拔智齿前的片子,智齿年前已经拔了,现在需要治疗一下旁边的那颗
图片尺寸4160x3120
拍的ct显示,这颗智齿是垂直脸颊朝外生长的.
图片尺寸1600x900
我刚长了智齿去牙科医院去看牙,拍完ct告诉我牙离下颌神经太近了,会有
图片尺寸1080x613
智齿长进上颌窦,拔了一定会穿孔,挂的专家号说有风险,各位觉得应该拔
图片尺寸770x366
下颚智齿靠近牙神经且有弯钩 所有医生都说有风险 要拍ct 弯钩容易断
图片尺寸3024x4032
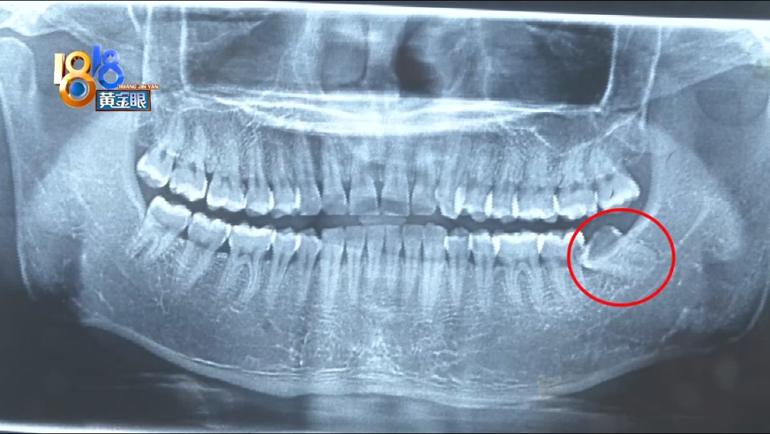
男子想拔左侧智齿却被拔了右边的医院给出不一样的解释
图片尺寸1080x609
宁波这边哪个医院或者医生拔智齿比较好求推荐
图片尺寸2846x1280