智齿x光

我想了解一下我有四颗智齿对牙齿矫正有很大影响吗但是我现在还不想
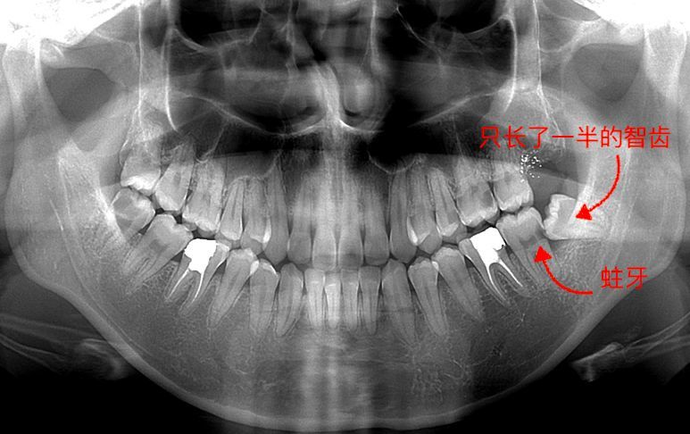
图片尺寸688x699
长智齿了,但是现在不疼了,去医院拍了片,请问这个智齿长这样需要拔么?
图片尺寸450x337
大龄想正畸但拔智齿时候看片子牙根偏短还能正畸么
图片尺寸4032x3024
有些患者智齿结构极为复杂,在拔智齿前需进行拍x光片
图片尺寸1414x764
爱恨交加之智齿的危害
图片尺寸1440x1080
什么样的阻生牙智齿该拔出
图片尺寸1278x1704
已经把四颗智齿都拔了医生说我的牙个头很大,她开的.
图片尺寸1080x2337
帮忙看看下面这颗智齿要不要拔呀拔的话难度会
图片尺寸1080x810
阿姨还为我们展示了两张x线片,让我们了解一下智齿的x线片,恒牙替换
图片尺寸944x610
这是我x光片,左边上下两颗智齿长成年了没,还会继续长吗,没问题就留着
图片尺寸720x960
智齿拔还是不拔智慧人也有自己的小忧桑
图片尺寸1353x1038
求助今天去拍牙片看看智齿情况被医生狠狠吓到
图片尺寸1080x810
uu们可以帮我看一下需要拔智齿吗
图片尺寸1080x689
我有一颗智齿我从来也不理,结果有一天.
图片尺寸800x444
拔智齿-阻生齿(左下)
图片尺寸1004x559
友友们,这种智齿拔吗?
图片尺寸1080x810
一年内拔四颗智齿
图片尺寸2560x1914
牙齿外科的牙科x光片,带着智齿的雏形
图片尺寸1200x590
智齿不痛就不用拔吗?看了这篇你就懂了
图片尺寸773x486
拔牙记丨那个害怕看牙的妹纸终于下定决心去拔智齿了
图片尺寸500x250