束状带

肾 上 腺 实 质 示 意 球状带 被膜 束状带 皮质 网状带 髓质
图片尺寸1080x810
球状带:分泌盐皮质激素,主要是醛固酮,因其主要参与体内水盐代谢的
图片尺寸550x772
束状带
图片尺寸630x406
内环境稳态的调节机制体液调节
图片尺寸366x264
束状带 合成糖皮质激素:氢化可的 松,可的松.
图片尺寸1080x810
球状带束状带网状带
图片尺寸1024x768
发现肾上腺意外瘤怎么办?
图片尺寸892x540
应用ppt 肾上腺皮质的结构及分泌 球状带:盐皮质激素/醛固酮 束状带
图片尺寸1080x810
肾上腺 被膜 肾上腺 实质 结缔组织间质 盐皮质h 球状带 皮质 束状带
图片尺寸1080x810
肾上腺丨扫描方案解剖皮质增生及小腺瘤的诊断
图片尺寸960x720
属甾体类化合物,是肾上腺皮质激素的一种,由肾上腺皮质的束状带分泌
图片尺寸554x415
束状带
图片尺寸140x92
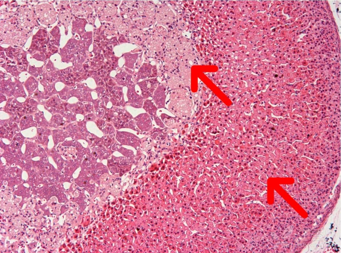
想请教大神肾上腺网状带以及束状带he染况
图片尺寸1192x885
组胚标本考试ppt课件ppt
图片尺寸920x690
肉桂,天空,蓝色,束状带,自然
图片尺寸795x1200
概 述 球状带—(盐皮质激素) 束状带—(糖皮质激素) 网状带—(性激素
图片尺寸1080x810
肾上腺 球状带:分泌盐皮质激素(醛固酮) 皮质 束状带:分泌糖皮质激素
图片尺寸1080x810
右向左依次为肾脏脂肪囊,被膜,球状带,束状带,网状带和髓质.
图片尺寸504x331
组织胚胎切片图片ppt课件.ppt
图片尺寸1152x864
总监:里维奥grossi文案:hilija拉索摄影家:13:2009年7月出版的束状带
图片尺寸600x424