条索状
![【讨论】耳后条索状疤痕 [病例帖]](https://imgs.wantubizhi.com/img/735A5D1F980B52A636CC46F12F2D1A73BA47C6F284EEE677692318DD75A65F6E686D13429B69D8DEF0894BE31AD905E1A8C844FA34927BE0A97DAEE6FB68F4098A478279F1465FBA2425C9369135E44C566D3F1D8E612CCD0825386594BC482C)
【讨论】耳后条索状疤痕 [病例帖]
图片尺寸2255x2430
注意这种胸腹壁条索状结构可能与乳腺癌有关
图片尺寸292x394
男,30岁,27岁逐渐出现头皮上呈纵向条索状凸起,全头都是,中间更明显
图片尺寸500x375
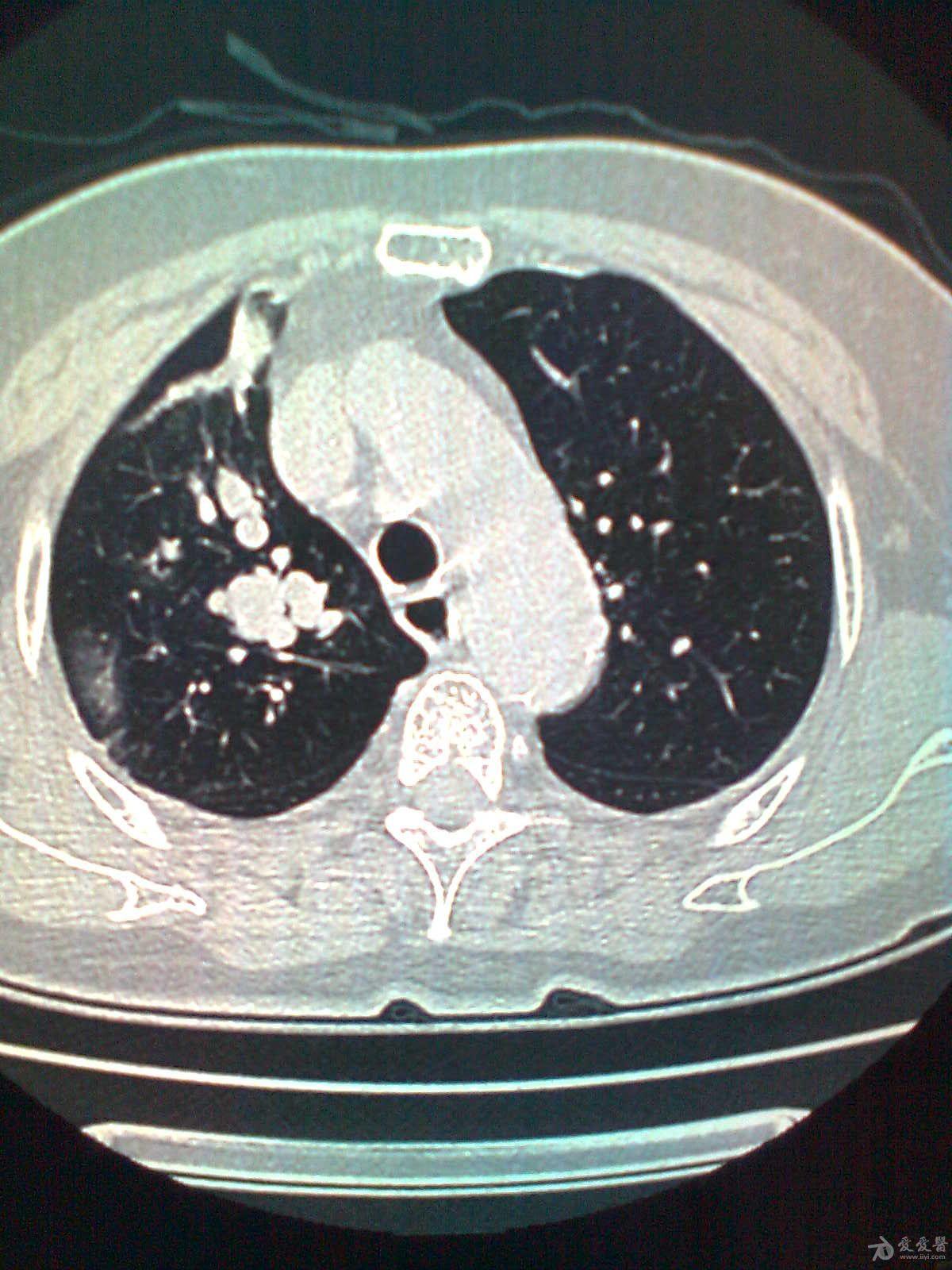
双肺可见斑点状,条索状影,病灶无活动迹象.
图片尺寸640x640
右肺条索状改变
图片尺寸1200x1600
右肺条索状改变
图片尺寸1200x1600
皮下条索状硬结伴疼痛,超声显示静脉炎!##抖音小助手 #医学 - 抖音
图片尺寸1440x1080
超声胃内条索状中强回声
图片尺寸640x853
右肺条索状改变
图片尺寸1200x1600![【 求助】颈部条索状疤痕,如何改型or修复呢! [病例帖]](https://imgs.wantubizhi.com/img/A1A61BAA66193547F3A6DD7D8EE527E9267EF2AF4BB401836B35B0D3F406AFC55463754AE95670B0EC1BA95EA85BD1B38D092EF9F781856CC72CEE6DF1FEFA8890EDECF1E0BF26DF5D28E3BDF424E79001BDA283285944838E679E2F7A9E9B74)
【 求助】颈部条索状疤痕,如何改型or修复呢! [病例帖]
图片尺寸640x1139
图3 浅表静脉血栓的条索状硬化内脏静脉血栓(spvt)大概有一半发生在
图片尺寸1080x668
精原细胞瘤,示肿瘤细胞排列成条索状
图片尺寸661x496
tep时发现一异常条索状组织,请教?
图片尺寸2048x1536
基底细胞呈条索状向真皮延伸,条索多数由2层细胞组成,胞核大,嗜碱性
图片尺寸1000x689
缝合成条索状
图片尺寸1440x1080
幼稚单核细胞的条索状结构就像一根根毛线掉在沙滩上
图片尺寸1200x1600
肾上腺区肝细胞性肝癌(原发性),示瘤细胞呈条索状排列,宽度不一.
图片尺寸661x496
可有实性,条索状结构
图片尺寸661x496
条索状高密度影是不是肺癌
图片尺寸900x1600
忽视小小静脉炎,亦可造成大后果,您是否可知呢?
图片尺寸387x221