杯状细胞

杯状细胞染色图
图片尺寸504x332
1呼吸系统ppt ●气管粘膜上皮细胞的类型 刷细胞 纤毛细胞 杯状细胞
图片尺寸1080x810
有没有会看的大神 刚做的杯状细胞染色 师兄说我做的不对 他就没搞我
图片尺寸820x614
为什么胃里不能有杯状细胞,它的功能是什么?
图片尺寸512x521
时隔一年,杯口细胞再认识
图片尺寸996x1184
脓毒症的治疗可引起肠道菌群的生态破坏,引发脓毒症急性胃肠损伤
图片尺寸1200x773
杯状细胞
图片尺寸300x215
杯状细胞
图片尺寸750x563
杯状细胞
图片尺寸750x563
杯状细胞
图片尺寸300x225
杯状细胞
图片尺寸750x500
这种可见杯口细胞的少见aml你知道吗
图片尺寸750x600
m为肌层; tp为固有膜; mv为微绒毛; eh为肠上皮细胞; gc为杯状细
图片尺寸4016x1252
黏液分泌减少(mucin depletion):定义为杯状细胞减少或细胞内黏液
图片尺寸640x480
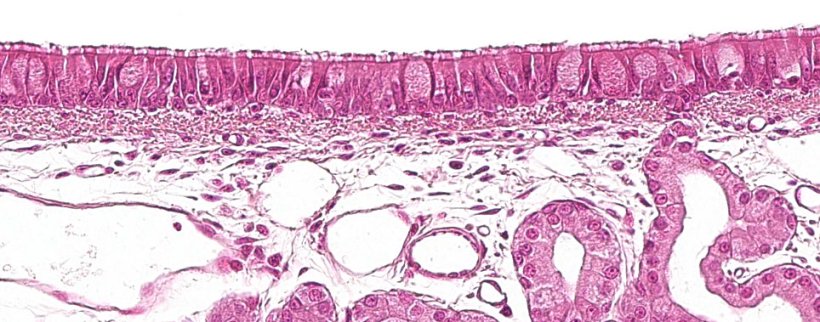
图1:具有杯状细胞的纤毛假复层上皮,是呼吸系统的特征.
图片尺寸820x322
杯状细胞
图片尺寸750x563
图中所示胃黏膜中出现了杯状细胞属于
图片尺寸788x677
肠.杯状细胞
图片尺寸1200x960
氏细胞,杯状细胞减少或缺失小肠上皮内杯状细胞和潘氏细胞减少或缺失
图片尺寸1055x1396
有杯状细胞
图片尺寸1598x1198