枕叶ct图片
![【讨论】左侧枕叶病变,请各位高手分析指导. [病例帖]](https://imgs.wantubizhi.com/img/735A5D1F980B52A636CC46F12F2D1A732779DCE693B76F9169BEB91749CC1F0952BECF8D5DF2FA89C8ACAB58DE39086E1EF04D4DFDC3DD7833659656558956520CB3AA0E6F73C1FC12C1AC932ACCE7C67C4F89CDCF54BE49365A83007C7602E3)
【讨论】左侧枕叶病变,请各位高手分析指导. [病例帖]
图片尺寸3264x2448
头ct(自带):右侧枕叶片状低密度影.
图片尺寸1493x1765
双侧枕顶叶低密度影
图片尺寸1169x564
右侧枕叶可见片状低密度灶
图片尺寸1200x1401
入院昏睡状,头颅ct提示枕叶出血,硬膜下血肿.
图片尺寸2667x2000
女9岁余头疼5天右颞顶枕叶占位
图片尺寸593x802
枕叶出血导致视物模糊治疗后恢复
图片尺寸512x512
【影像讨论】枕叶占位性病变
图片尺寸960x1280
术后24小时复查头ct.右侧枕叶梗死.患者意识清,肢体活动可,稍烦躁.
图片尺寸3021x4029
患者在我的陪同下被推着立即前往ct室做了头颅ct检查,果然在右侧枕叶
图片尺寸512x512
本次突发头痛伴意识不清发病,头部ct提示右侧颞枕叶脑出血,破入脑室
图片尺寸2000x2667
头颅ct片
图片尺寸800x981
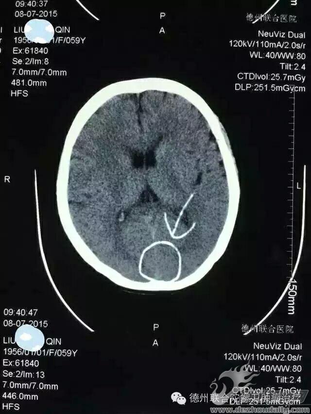
陀螺刀治疗一位头部左枕叶占位患者疗效显著
图片尺寸640x853
颅骨骨折多久能好(右枕骨骨折要多久才能好)-第10张图片
图片尺寸1004x570
请教各位战友头颅ct示右侧颞顶枕均有大片低密度影但患者无明显定位
图片尺寸1440x2560
核磁共振检查显示枕叶梗死
图片尺寸1080x1080
术前头部ct(当地医院发病30min): 可见右枕叶低密度影,有脑
图片尺寸2382x1092
右侧颞枕叶占位一例
图片尺寸2592x1944
右侧枕叶脑后见大片状稍长t1t2信号头晕眼花记忆力减退
图片尺寸1920x2560
4月17日弥散成像显示左枕叶急性脑梗死.
图片尺寸750x562