标准的腰椎双斜位图片

腰椎双斜位的标准影像
图片尺寸670x621
普放解析:腰椎斜位片
图片尺寸540x832
《将病人拦在去往手术台的路上》——腰椎间盘突出继发椎管狭窄症徒手
图片尺寸1919x1079
mis tlif治疗双侧峡部裂,腰椎滑脱症并椎管狭窄症
图片尺寸4032x3024
【分享】腰椎骨折(正侧位加双斜位)
图片尺寸808x1136
【分享】腰椎骨折(正侧位加双斜位)
图片尺寸808x1136
骨科
图片尺寸640x446
【实习生手记】摄影体位之腰椎正侧位
图片尺寸1280x1280
20210802腰椎双斜位x线片 图4.
图片尺寸640x722
x线检查操作规范之脊柱篇
图片尺寸660x372
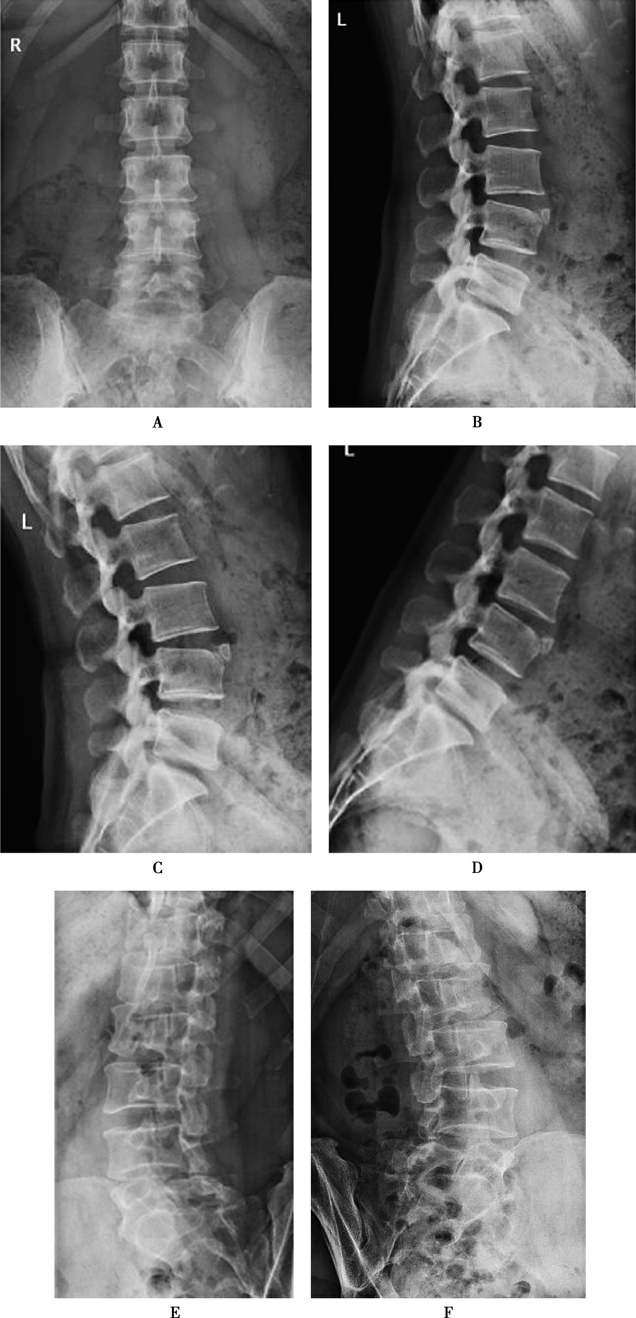
51岁,女,腰痛并左下肢痛麻,半年后右下肢麻痛,诊断腰椎滑脱
图片尺寸640x438
影像征象 | 狗戴项圈征_腰椎_全网_解剖图
图片尺寸340x352
腰椎正侧双斜位的投照方法ppt
图片尺寸800x600
图4-1-3 腰椎dr
图片尺寸1291x2674
医影技术丨腰椎六位片摄影技术正侧位双斜位过伸过屈位
图片尺寸1080x608
医影技术丨腰椎六位片摄影技术——正侧位,双斜位,过伸过屈位_平台
图片尺寸1080x608
腰椎斜位片的投照方法及临床意义ppt课件
图片尺寸300x225
医学影像学 腰椎x线平片 正位 侧位 斜位
图片尺寸1080x810
医影技术丨腰椎六位片摄影技术正侧位双斜位过伸过屈位
图片尺寸1080x608
腰椎正侧双斜位的投照方法ppt课件
图片尺寸800x600