核医学成像

核医学成像
图片尺寸1920x1080
【讲座】mdct心血管成像(图文之异彩纷呈)专题 - 影像核医学 -丁香园
图片尺寸1310x719
核医学成像
图片尺寸1920x1080
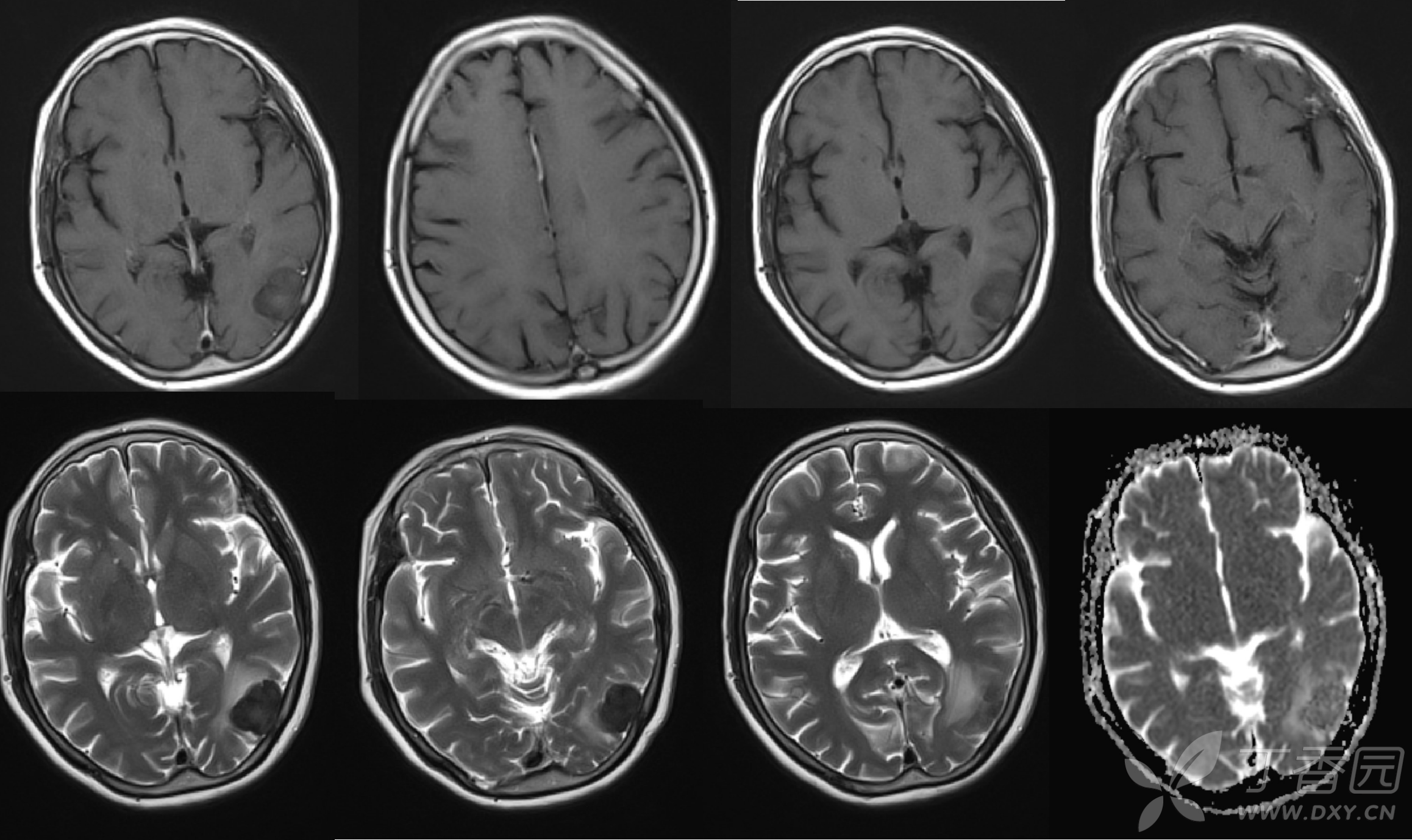
核磁共振成像
图片尺寸756x501
脑ct 灌注成像的应用 - 丁香园
图片尺寸640x507
【讲座】mdct心血管成像(图文之异彩纷呈)专题 - 影像核医学 -丁香园
图片尺寸1257x851
核磁共振成像技术在脑疾病检查中的作用
图片尺寸580x389
【分享】中华核医学与分子影像杂志 | 文献赏析
图片尺寸869x485![核医学[1]_副本](https://imgs.wantubizhi.com/img/ADDA3C5D760C6828B77B505A29D43E8336B6923EA0F42CD84539B0F008B83529DA0872ACCB50B1A9D9B02A807B665D395DB6FAB6331D585916E076D0EA833A555C6227F90A1D586976788AC3C52518948CD47E24CC236A98D805032CA766AFBC)
核医学[1]_副本
图片尺寸690x520
核汇园39期刘亚强研究员核医学断层成像方法
图片尺寸960x720
影像医学和核医学讨论版 -丁香园论坛
图片尺寸2316x1379
刘杰
图片尺寸646x486
规培朋友看过来核医学病例及解析059号
图片尺寸1266x921
核汇园39期刘亚强研究员核医学断层成像方法
图片尺寸960x720
医学影像设备学,人体解剖学,断面解剖学,内科学,外科学,医学影像成像
图片尺寸800x533
磁共振全身脂肪定量成像 - 影像医学和核医学讨论版 -丁香园论坛
图片尺寸734x742
新闻桂医附院核医学科多模态心脏影像学检查体系建成
图片尺寸1080x650
探讨上腹部mri - 影像核医学 - 专业医生社区,医学,药学,生命科学
图片尺寸2560x1440
minimr-60 实验动物小核磁共振成像仪
图片尺寸1020x738
影像医学和核医学讨论版 -丁香园论
图片尺寸640x640