根面龋

预防根面龋可采取局部用氟方法,如使用含氟牙膏刷牙,定期到医院接受
图片尺寸640x359
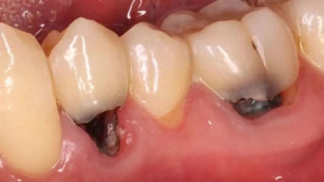
分享一组双尖牙根面龋补牙案例
图片尺寸640x426
分享一组双尖牙根面龋补牙案例
图片尺寸640x426
局部用氟合理膳食预防根面龋
图片尺寸660x298
牙科根面龋.
图片尺寸1200x800
牙齿根面龋坏严重,左上2号牙根尖区有一个小落管儿,经常有脓液从内
图片尺寸740x409
两位研究者分别独立检索了2017年之前用英文发表的关于根面龋发病率和
图片尺寸640x379
老年人最容易出现的4种牙齿问题提前知晓提前预防
图片尺寸637x386
分享一组双尖牙根面龋补牙案例
图片尺寸640x426
导致老年人龋病发病率升高的原因是 ( )
图片尺寸261x157
由于老年人牙龈萎缩,牙颈部及根面暴露,从而导致老年人根面龋发生率较
图片尺寸774x489
中年人还会得龋齿吗
图片尺寸500x216
经检查发现34,颊侧颈部大面积龋坏至龋下,探诊龋洞较深,叩-,牙龈基本
图片尺寸640x426
根面龋老年人常见的龋齿我国中老年人龋患率高达98.4%.
图片尺寸245x236
j dent res:未治疗龋齿已成为全球重要的医疗负担
图片尺寸350x250
分享一组双尖牙根面龋补牙案例
图片尺寸640x426
请问这是邻面龋嘛?像这样的,不疼又看不见到底在哪的医生会给补嘛?
图片尺寸1080x1462
分享一组双尖牙根面龋补牙案例
图片尺寸640x426
根面龋留不留
图片尺寸1215x1620
小伙晨起刷个牙刷着刷着牙断了
图片尺寸512x340