桩冠

桩冠与桩核冠知识讲解--常见桩核材料及根管桩操作过程
图片尺寸640x480
在深圳做根管治疗后医生说要桩冠修复是什么
图片尺寸500x300
这种修复方式适用于牙根过短,没有办法进行桩冠修复的患者.
图片尺寸640x423
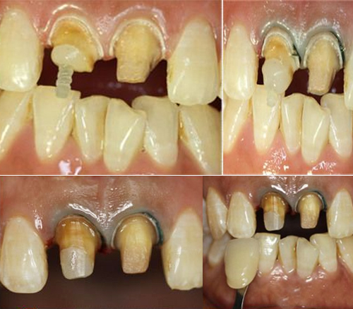
下6治疗后桩冠修复包宇
图片尺寸640x497
桩冠与桩核冠知识讲解--常见桩核材料及根管桩操作过程
图片尺寸640x480
前牙烤瓷桩冠———东海牙医郑志成
图片尺寸620x463
桩冠与桩核冠知识讲解--常见桩核材料及根管桩操作过程
图片尺寸640x480
下6治疗后桩冠修复包宇
图片尺寸640x467
牙科树脂口腔粘韩国登科斯特粘全瓷桩冠全能型免酸蚀
图片尺寸800x800
下6治疗后桩冠修复包宇
图片尺寸640x478
桩冠修复
图片尺寸499x212
口腔牙体修复中桩冠和桩核冠的区别
图片尺寸842x531
桩冠和桩核冠
图片尺寸363x304
氧化锆桩冠一体
图片尺寸1199x1599
口腔牙体修复中,桩冠和桩核冠的区别? - 知乎
图片尺寸513x300
口腔牙体修复中桩冠和桩核冠的区别
图片尺寸391x293
前牙烤瓷桩冠———东海牙医郑志成
图片尺寸620x463
下6治疗后桩冠修复包宇
图片尺寸600x800
九月份修复病例展示
图片尺寸500x438
口腔牙体修复中桩冠和桩核冠的区别
图片尺寸522x281