检眼镜看到的眼底图片

【眼底病讨论】帮忙看个眼底照相图
图片尺寸1984x1525
左眼正常眼底
图片尺寸2000x2667
眼底检查的重要性
图片尺寸1536x2048
常见眼科病例的眼底照片集锦
图片尺寸628x505
各位眼科医生朋友们帮我看看这个眼底照相是否正常.
图片尺寸1440x1080
眼底筛查是咋回事我们专门去医院给自己拍了张照
图片尺寸803x664
请教眼底问题
图片尺寸2800x2300
看看我的眼底有什么问题吗?有眼底影像照片
图片尺寸3264x2448
今天去查了眼底,高度近视的朋友要注意护眼了
图片尺寸1080x540
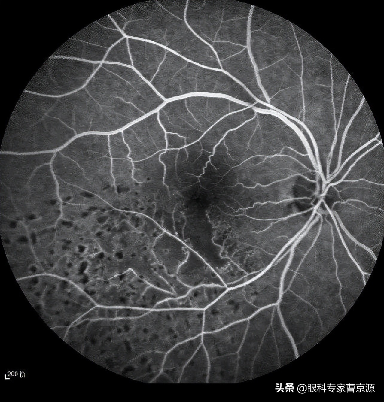
结晶样rp
图片尺寸639x426
发一组近期拍的眼底照片,与初学者共赏.
图片尺寸2736x1824
近视超过600我建议你看看自己的眼底绝对惊喜
图片尺寸580x916
红圈是常规眼底镜(直接检眼镜)能看到的范围,蓝圈是配合眼球运动直接
图片尺寸648x453
帮忙看一下眼底相片
图片尺寸960x1920
手持间接检眼镜如何拍出高品质的眼底图像
图片尺寸683x943
新生儿眼底筛查
图片尺寸2667x2000
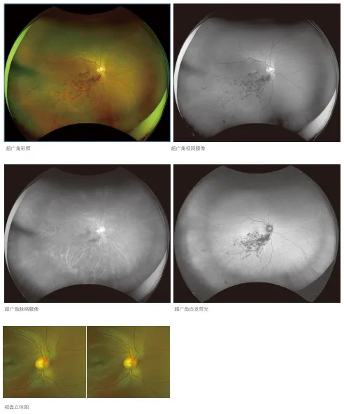
济南普瑞眼科引进欧堡新一代超广角激光扫描检眼镜|广角|眼底|检眼镜
图片尺寸492x592
我们可以通过检眼镜来看大概的血管的一个形态.
图片尺寸1284x1344
这是一张正常的眼底彩照,呈橘红色.
图片尺寸360x246
看看我的眼底有什么问题吗?有眼底影像照片
图片尺寸3264x2448