棘孔

脑血管解剖学习笔记第2期棘孔的解剖
图片尺寸1080x959![[2],颅底内面观 颈静脉孔 破裂孔 a 眶上裂 b 圆孔 c 卵圆孔 d 棘孔](https://imgs.wantubizhi.com/img/ADDA3C5D760C6828B77B505A29D43E838F4771FEC9B60C6AF1A15F5F035216BEE5CD1FA036DB9970EA1A6428149E447F1AF4157813D180AC1B44A751449C54284B110737793DCEF4DB7E8AE49609111795D5D6B255D22481EC193EE8EAB15C05)
[2],颅底内面观 颈静脉孔 破裂孔 a 眶上裂 b 圆孔 c 卵圆孔 d 棘孔
图片尺寸1080x810
脑血管解剖学习笔记第2期棘孔的解剖
图片尺寸1080x799
脑血管解剖学习笔记第2期棘孔的解剖
图片尺寸1080x611
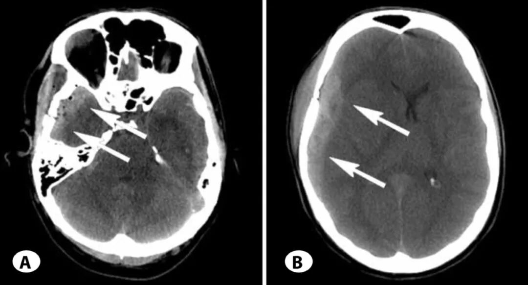
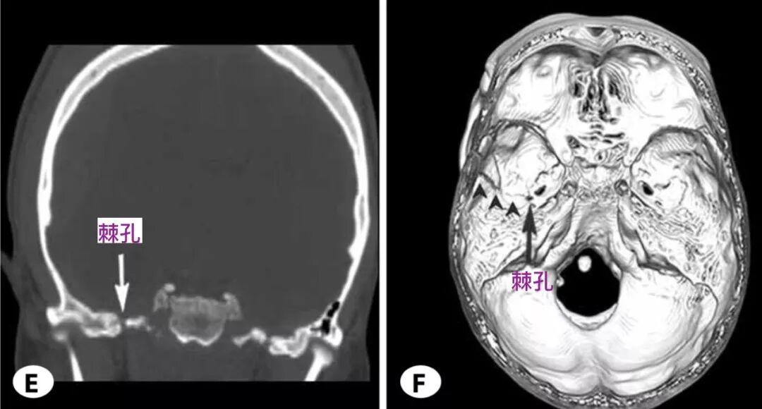
6mm 棘孔是一短骨管,管长右侧 为7.3mm(6~14mm),左侧为 7.
图片尺寸1080x810
学课件 筛板 筛孔 垂体窝 破裂孔 圆孔 眶上裂 视神 卵圆孔 经管 棘孔
图片尺寸1080x810
脑血管解剖学习笔记第2期棘孔的解剖
图片尺寸1080x580
丝穿 中窝之中垂体窝,前高后高似蝶鞍 两侧圆孔卵圆孔,棘孔位于最后边
图片尺寸786x644
脑血管解剖学习笔记第2期棘孔的解剖
图片尺寸1080x582
脑血管解剖学习笔记第2期棘孔的解剖
图片尺寸1080x386
头颈部影像诊断ppt
图片尺寸1080x810
视觉连两侧圆孔卵圆孔棘孔位于最后边中窝之中垂体窝前高后高似蝶鞍前
图片尺寸393x380
体(蝶窦): 蝶鞍,垂体窝 小翼:视神经管,眶上裂 大翼:圆孔,卵圆孔,棘孔
图片尺寸1080x810
脑血管解剖学习笔记第2期棘孔的解剖
图片尺寸1080x614
脑血管解剖学习笔记第2期棘孔的解剖
图片尺寸1080x575
医学趣味记忆法解剖学之运动系统
图片尺寸400x500
棘孔
图片尺寸1080x810
颅骨形态结构ppt
图片尺寸1080x810
脑血管解剖学习笔记第2期棘孔的解剖
图片尺寸1080x382
康复口诀这是我见过最全的一套记忆口诀速速收藏
图片尺寸640x745