椎板骨折

l1骨折伴一侧椎板骨折
图片尺寸1199x1599
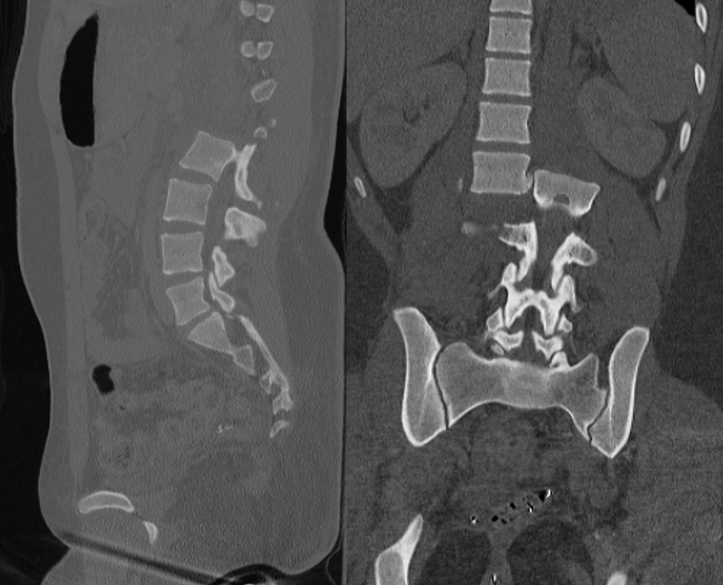
损伤致第1腰椎粉碎性骨折(椎管内骨性占位)并相应椎板及左侧横突骨折
图片尺寸1273x713
处理 入院后完善检查,查无手术禁忌症后行胸11椎体骨折切开复位椎板
图片尺寸680x485
脊椎骨骨折
图片尺寸1045x846
ct:颈4右侧椎板骨折,颈5-7椎体及椎板多发骨折
图片尺寸640x856
腰椎骨折
图片尺寸3456x4608
腰椎骨折
图片尺寸3456x4608
ct, mri(核磁共振)提示:第一腰椎椎体,椎板,棘突骨折并明显移位,脊髓
图片尺寸760x530
腰椎爆裂骨折并脊髓损伤 - 好大夫在线
图片尺寸3024x4032
二骨二区21床 叶胜一,c5,c6椎板骨折,自费,急诊入院,现右下肢肌力减弱
图片尺寸4032x3024
脊椎骨折
图片尺寸3000x4000
患者王有文病例资料(枢椎齿状突骨折)
图片尺寸2000x2667
环枢关节ct 三维重建:c6双侧椎板骨折
图片尺寸2000x2667
腰1,2椎暴力骨折,椎板骨折(小心陷阱)
图片尺寸645x873
腰椎骨折
图片尺寸3456x4608
l2椎体爆裂性骨折切开复位钉棒内固定术
图片尺寸2448x1836
腰2椎体压缩性骨折
图片尺寸300x400
胸腰椎骨折
图片尺寸1944x2592
脊椎骨折
图片尺寸3000x4000
胸椎骨折
图片尺寸2000x2667