楔状缺损补牙过程

树脂补牙 仿真补牙齿牙洞牙缝牙缺 告别牙齿"缺陷"
图片尺寸790x519
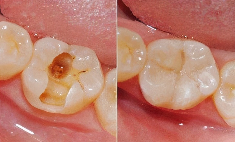
一例楔状缺损的充填
图片尺寸640x423
有一种补牙方法叫嵌体修复优点真不少
图片尺寸471x299
在缺损感发生,不是特别厉害的时候,可以找牙医用补牙材料对缺损的位置
图片尺寸500x353
上海牙防所补牙价格表公布啦,look上海牙防所补牙多少一颗!
图片尺寸500x333
补牙
图片尺寸540x335
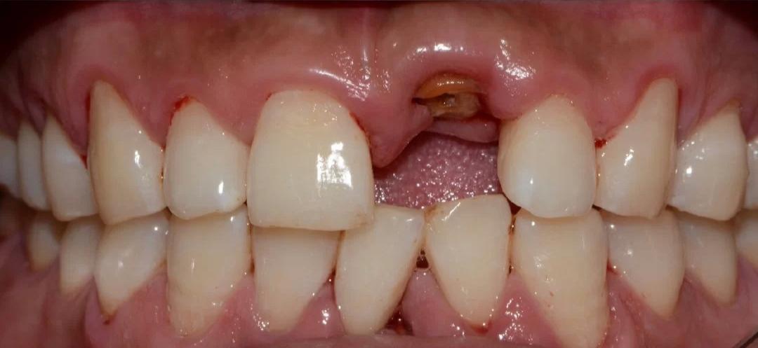
别再拖了再拖几百的补牙就要变成上万的种植牙了
图片尺寸1080x497
补牙的全过程,每个人都要好好看看!牙医的真建议__凤凰网
图片尺寸776x472
楔状缺损树脂仿生充填技术与术后敏感控制
图片尺寸501x313
楔状缺损的树脂充填
图片尺寸640x480
楔状缺损树脂仿生充填技术与术后敏感控制
图片尺寸560x842
什么是补牙?通俗一点的说法就是,用人造物质修补牙体缺损的方法.
图片尺寸848x1078
凡因龋齿,楔状缺损,外伤等造成牙体组织缺损者都需要修补,以恢复其
图片尺寸302x474
江南谈器材dyractap修复牙齿楔状缺损答成都网友江南谈器材
图片尺寸481x338
楔状缺损树脂仿生充填技术与术后敏感控制
图片尺寸560x1178
补牙 用人造物质修补牙体缺损的方法.用于修补的物质叫充填材料.
图片尺寸655x209
楔状缺损反复补反复掉怎么办—— 超薄局部微贴了解一下_补牙_补牙
图片尺寸1214x986
补牙,就是把洞塞上?no! - 好大夫在线
图片尺寸1500x1500
牙颈部缺损楔状缺损树脂修补
图片尺寸1080x720
一颗牙齿有楔状缺损该怎么修复
图片尺寸500x306