正畸

我们该如何科学正畸牙齿矫正最全面的正畸知识科普
图片尺寸1269x774
成人正畸的介绍
图片尺寸700x404
太原牙齿正畸上官林口腔 太原牙齿正畸排行
图片尺寸500x375
正畸是怎样的一个过程
图片尺寸1080x658
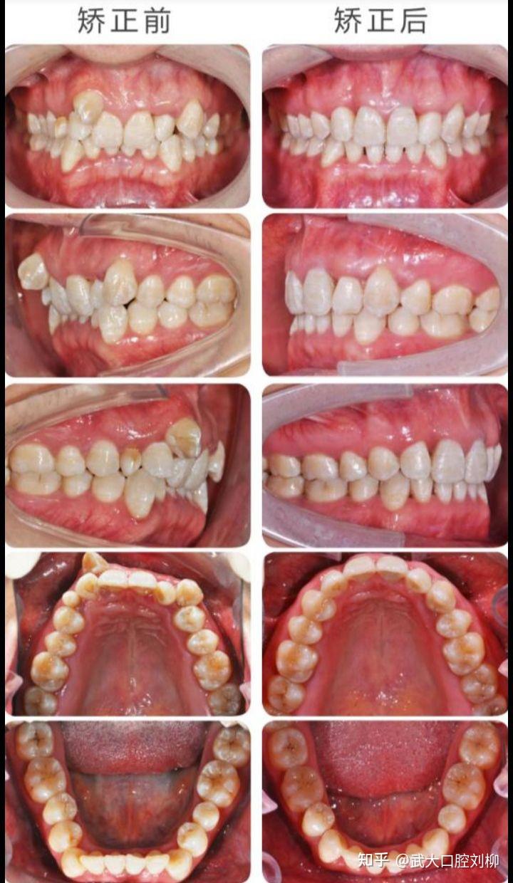
正畸前后对比
图片尺寸1440x1920
在廊坊正畸靠的是牵引牙齿移动的原理是什么
图片尺寸1200x794
爆料牙齿矫正正畸17大护理风险害处不可踩雷
图片尺寸594x475
球面自锁托槽舒适化矫正助力中国口腔正畸新发展
图片尺寸640x642
正畸
图片尺寸1280x852
正畸治疗期间需要注意哪些牙石问题_牙齿_口腔_进行
图片尺寸626x417
「大咖健康课」口腔正畸,不止于变美
图片尺寸640x426
23岁女生正畸之路
图片尺寸1536x2048
『正畸病例』嘴突,不拔牙矫治病例一例 - 知乎
图片尺寸1080x587
正畸治疗与牙周健康_牙颌畸形_治疗方法_治疗方式 - 好大夫在线
图片尺寸500x236
病例前牙阻生正畸牵引案例分享
图片尺寸691x461
想去做正畸有哪些做过才知道的事
图片尺寸720x1240
正畸快6个月了,今天翻照片对比突然惊喜到了
图片尺寸1200x1598
成人正畸:需要坚持才会蜕变的矫正时期
图片尺寸790x503
正畸之路 - 知乎
图片尺寸1075x541
正畸有黄金时代吗
图片尺寸450x338