正畸前后对比照侧面

牙齿-侧面及口内对比.jpg
图片尺寸1134x1506
侧面牙齿矫正前后对比
图片尺寸450x251
带牙套牙套的日子 #牙齿矫正 #前后对比 #菱形脸 怎么感 - 抖音
图片尺寸1440x2810
正畸一年后,侧脸变化太让人惊喜了!
图片尺寸570x760
矫正前后面像对比
图片尺寸570x673
矫正前后对比图.jpg
图片尺寸1363x1920
部分牙齿矫正前后对比图,暑期矫正最佳时机.#正畸 #牙齿矫正 - 抖音
图片尺寸1440x1920
矫正前后侧貌对比
图片尺寸964x908
西安矫正医生曹甜 的想法: #矫正前后对比# 来自患者的侧貌对比分享
图片尺寸720x541
侧面牙齿及口内对比.jpg
图片尺寸1134x1463
▌ 矫正前后面像对比
图片尺寸570x826
牙齿-侧面及口内对比 拷贝.jpg
图片尺寸1134x1506
下面是上周在家拍的,现在矫正后侧面完全不凸了,纯侧面照是侧脸杀
图片尺寸945x1260
矫正前后口内像对比
图片尺寸1200x800
矫正前后面像对比
图片尺寸1023x1430
面相-侧面对比.jpg
图片尺寸961x973
矫正前后面像对比
图片尺寸1295x899
矫正前后面像对比
图片尺寸999x1492
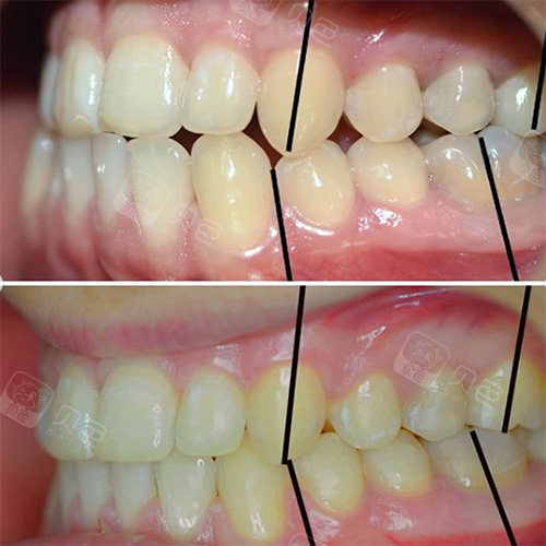
牙齿矫正侧面前后对比
图片尺寸500x500
整牙前后对比图.侧面对比来啦
图片尺寸1014x774