正畸舌侧保持器

牙齿矫正保持器戴多长时间透明哈雷和舌侧保持器哪个好
图片尺寸600x325
舌侧保持器
图片尺寸1799x1199
舌侧保持器
图片尺寸1799x1199
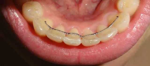
舌侧固定保持器
图片尺寸1350x900
舌侧保持器是一种常用的保持器,是正畸治疗后,牙齿矫正完毕,取出矫治
图片尺寸1080x1139
保持器有很多种,你会选择哪一种?
图片尺寸757x757
保持器|牙齿|矫正器_新浪新闻
图片尺寸640x281
深圳牙齿矫正科普舌侧保持器是怎么戴上去的
图片尺寸2038x1274
几例前牙固定舌侧保持器---刘军_kq88口腔正畸网
图片尺寸620x449
保持器
图片尺寸1080x1439
舌侧保持器价格别说我没告诉你
图片尺寸1252x834
3d打印舌侧保持器-矫正器-云南家红齿科技术股份有限公司
图片尺寸1444x964
器是不是 发布于 17 小时前 · 13 次播放牙套隐形牙齿矫正牙齿正畸
图片尺寸1920x1080
难道是因为舌侧保持器容易反弹吗
图片尺寸760x498
3d打印舌侧保持器-矫正器-云南家红齿科技术股份有限公司
图片尺寸1444x964
舌侧固定保持器操作过程及步骤
图片尺寸827x591
舌侧丝保持器照片
图片尺寸480x300
舌侧保持器
图片尺寸1000x1000
几例前牙固定舌侧保持器---刘军_kq88口腔正畸网
图片尺寸620x389
佩戴舌侧保持器不想变成大舌头可以安装保护蜡在上面
图片尺寸500x359