残根

无法保留的残根
图片尺寸522x362
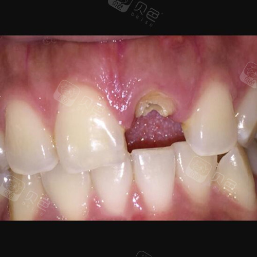
残根的再利用基本情况:姓名,赵×,女,年龄35,职责,个体经商主诉:牙套
图片尺寸1294x550
牙残根示意图
图片尺寸500x286
残根的再利用基本情况:姓名,赵×,女,年龄35,职责,个体经商主诉:牙套
图片尺寸1089x544
南州口腔翟利娥医生门牙残根即拔即种案例
图片尺寸900x499
什么样的残根可以保留?
图片尺寸451x280
残根残冠的危害
图片尺寸474x223
残根还有救吗? - 知乎
图片尺寸600x494
残根的再利用基本情况:姓名,赵×,女,年龄35,职责,个体经商主诉:牙套
图片尺寸1087x640
中老年人要注意牙齿残根不拔会成为定时炸弹
图片尺寸640x402
病例7:老年人残根残冠修复
图片尺寸504x341
残根的挽留 氧化锆还是铸瓷的选择?不忘初心 方得始终
图片尺寸640x426
残冠残根留着不拔,当心炎症,移位,咬合紊乱,口腔癌等找上门
图片尺寸500x500
残根到底要不要保留
图片尺寸500x335
牙残根一辈子不拔行吗?
图片尺寸615x410
目前进度9/12,残根全部处理完毕,还剩智齿 - 知乎
图片尺寸3072x4096
牙齿残根残冠
图片尺寸500x300
残根的再利用基本情况:姓名,赵×,女,年龄35,职责,个体经商主诉:牙套
图片尺寸1130x629
牙齿残根到底要不要保留?
图片尺寸691x370
残根还有救吗
图片尺寸600x366