残根征

肺门残根征_医学界-助力医生临床决策和职业成长
图片尺寸548x824
肺门残根征_医学界-助力医生临床决策和职业成长
图片尺寸551x956
残根的再利用
图片尺寸620x465
肺动脉常见病变的影像学表现
图片尺寸960x720
肺动脉高压分类及影像表现
图片尺寸569x636
09 ζ _09 ζ 图片_百度百科
图片尺寸236x300
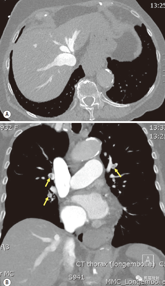
多发段以下肺动脉充盈缺损,肺动脉增宽,肺动脉远端可见"残根征"(图8)
图片尺寸962x606
大牙残根拔掉多少钱残留的牙根到底有没有必要拔掉
图片尺寸500x250
基础篇丨胸部典型征象——westermark征
图片尺寸317x294
肺动脉高压放射影像学诊断与评价影像天地
图片尺寸640x453
肺门残根征_医学界-助力医生临床决策和职业成长
图片尺寸551x455
胸x片读片全面分析肺部常见病的x线诊断
图片尺寸960x720
经典ct征象对早期肺腺癌亚型分型价值探讨血管征
图片尺寸1080x810
肺门残根征_医学界-助力医生临床决策和职业成长
图片尺寸1025x384
肺部十大征象诊断应用.pdf 67页
图片尺寸972x729
胆囊癌致胆囊动脉假性动脉瘤破裂出血1例
图片尺寸310x762
肺动脉高压,别忽视了这个少见病因
图片尺寸598x435
肺动脉高压临床分类及ct表现
图片尺寸1080x608
肺门残根征_医学界-助力医生临床决策和职业成长
图片尺寸551x815
干货秒懂ct血管成像检查和诊断要点急性肺动脉栓塞
图片尺寸1080x463