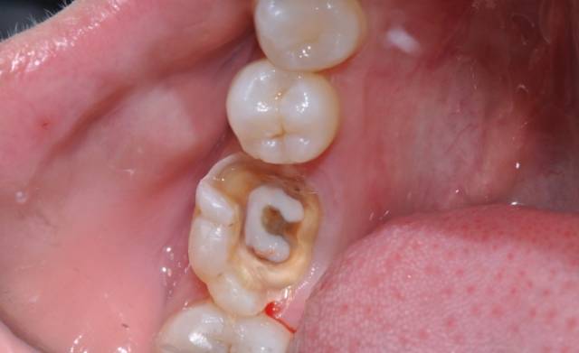
残牙

这是母亲六十多岁的牙,请问照片中的两个残牙可以打桩按牙冠吗?情况如
图片尺寸436x231
有了蛀牙怎么办?医生把烂牙拔出的瞬间,强迫症表示太爽了!
图片尺寸640x360
【每周科普】变"残"为宝——残冠残根的桩核冠修复_腾讯新闻
图片尺寸575x387
老残牙 - 中华古玩网 - 古董收藏,古玩收藏,古玩鉴定,古玩专场,古玩论
图片尺寸1920x1080
拔牙适应症,你遇到过吗?-王俞方-爱问医生
图片尺寸629x417
牙残根一辈子不拔行吗?烂牙根长期不拔的危害你想不到 - 口腔健康 -
图片尺寸615x410
牙齿坏了但是不拔, 时间长了有什么危害?_手机搜狐网
图片尺寸634x387
牙齿坏了但是不拔, 时间长了有什么危害?_手机搜狐网
图片尺寸475x351
全口种植一例 科贸嘉友收录|牙科种植|陕西嘉友科贸有限公司
图片尺寸560x998
牙齿坏了但是不拔, 时间长了有什么危害?_治疗
图片尺寸500x323
残牙资料照片_四川乐山征婚交友_珍爱网
图片尺寸3648x2736
口中的我的"老残牙"竟成了胃病的诱因_澳门星际官网,上海医保定点机构
图片尺寸379x289
为什么拔牙还得用到锤子? - 知乎
图片尺寸614x409
残牙资料照片_四川乐山征婚交友_珍爱网
图片尺寸3648x2736
全民爱牙公益行动如何处理牙齿突然折断-360化妆品网
图片尺寸600x348
缺损残牙引嘲笑,种植拯救显年轻_
图片尺寸620x348
烤瓷牙的使用寿命到底多久?_手机搜狐网
图片尺寸640x480
牙齿矫正的拦路虎,拔牙该怎么正确面对 - 贝色口腔
图片尺寸960x960
烂牙根一定要拔掉吗?_手机搜狐网
图片尺寸640x366
最烂的牙能烂成啥样 - 知乎
图片尺寸1080x950