气肿

纵隔气肿——不得不防的罕见胸外科疾病
图片尺寸1200x1600
电话中,尹主任指导柏乐医师立刻进行现场皮下气肿切开减压术,用50ml
图片尺寸640x415![纵隔气肿一例 [病例帖]](https://imgs.wantubizhi.com/img/ADDA3C5D760C6828B77B505A29D43E83BDFF91892825B14F91003C493F6989E5EC3648B1DBF4ED593AF15D0673300F5FCEE41FC6BFE18E3B05AE53EAE509356519097E01C0AFE0094063C2BF54222FD49C1D8ECAAFC71DD3FFDA2BA3FD9E5A33)
纵隔气肿一例 [病例帖]
图片尺寸512x512
原创气管切开术后纵膈气肿气胸
图片尺寸1446x1782
又一例纵隔气肿
图片尺寸3968x2976
肺气肿_肺气肿治疗方式 - 好大夫在线
图片尺寸719x800
以上是胸部ct结果,提示:胸部大量皮下积气,右侧肋骨骨折,纵隔气肿
图片尺寸1946x1512
旺方 肺气肿片 0.3g*54片/盒 连锁药房 保密发货
图片尺寸800x800
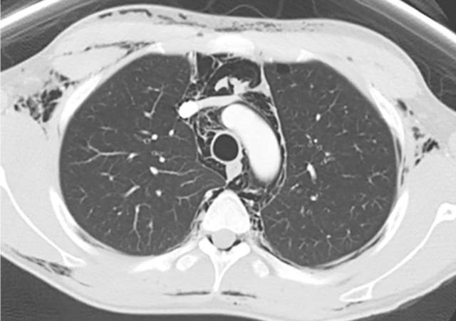
【影像读片】气肿hrct,都是哪一肿类型,有无气肿?求指点!
图片尺寸1936x2592
吸烟导致的极重度肺气肿
图片尺寸512x512
胸片显示广泛皮下气肿
图片尺寸640x451
【影像读片】气肿hrct,都是哪一肿类型,有无气肿?求指点!
图片尺寸1936x2592![[blue journal医学影像]:气管穿孔后弥漫性皮下气肿](https://imgs.wantubizhi.com/img/A1A61BAA66193547F3A6DD7D8EE527E96487B99E63722A5841231F40B4484E489104D4EAAA09C8731078D2DE34B99D0B0E2009B71782F2B6C898B3DEFC75E9A99DF5080AEBFE2C205611438EA8F7A7DDB6759010DB794D953325C1B2EF2BF920)
[blue journal医学影像]:气管穿孔后弥漫性皮下气肿
图片尺寸1228x1075
肺气肿
图片尺寸704x742
又一例纵隔气肿
图片尺寸3968x2976
肺气肿_肺气肿治疗方式 - 好大夫在线
图片尺寸3648x2736
【直答车】老是咳嗽可能是肺气肿吗?专家告诉你
图片尺寸620x480
清晰可见的皮下气肿
图片尺寸412x305
肺部局限性肺气肿
图片尺寸4000x3000
高龄肺气肿合并肺大泡气胸并非手术禁区! - 好大夫在线
图片尺寸4608x3456