水痘会不会传染

水痘水痘快走开
图片尺寸882x1491
水痘是一种传染性疾病,开始时会出现红色的肿块,然后变成水疱,最后
图片尺寸493x335
宁化县开心幼儿园秋季传染病预防知识
图片尺寸828x930
西安浐灞大拇指幼儿园——水痘预防知识宣传
图片尺寸942x812
于是这次画了套水痘的漫画,也可以给大家科普下吧水痘特性:传染性极强
图片尺寸1080x1298
冬季儿童水痘高发传染期预防治疗有妙方
图片尺寸1080x720
一个孩子水痘全班92的孩子会被传染
图片尺寸600x450
绥林二小水痘防治知识——携手预防水痘
图片尺寸820x1121
其它 城固县小太阳幼儿园【秋冬季传染病预防告家长书】 写美篇 水痘
图片尺寸640x486
健康科普|水痘传染吗?有哪些症状?得了水痘怎么办?看完你就知道了.
图片尺寸991x8620
河市中心幼儿园水痘预防知识
图片尺寸666x1619
为何青春痘也传染原来是它作怪
图片尺寸1080x791
冬季高发传染病—水痘防治知识
图片尺寸478x336
幼儿园冬季传染病预防与控制——水痘
图片尺寸1080x1440
水痘高发期春季常见传染病之一
图片尺寸690x568
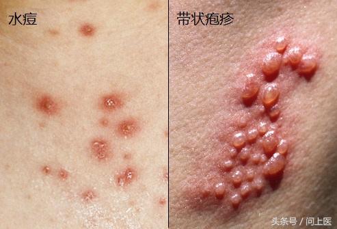
水痘
图片尺寸550x356
鄯善县蒲昌幼儿园预防春季传染病我先行
图片尺寸1080x810
大兴区第三幼儿园 —认识水痘,学会"战痘"
图片尺寸1080x1306
崇礼区第三幼儿园——春季传染病之水痘篇
图片尺寸1080x744
【兴平幼儿园】水痘预防 保健知识
图片尺寸1080x2135