水花和水痘图片

同一个地方第一个图片今天刚刚拍照的什么这水痘泡又长了这大,第 - 抖
图片尺寸1080x1920
门诊第一个患者,一个水痘的孩子,水痘与带状疱疹是同一种病毒感 - 抖
图片尺寸1440x2828
6岁小朋友的水痘遭遇
图片尺寸1440x2560
快点好起来吧.#水痘 #成年人出水痘的图片 #水痘进入高发 - 抖音
图片尺寸1440x1920
水痘和疱疹,傻傻分不清?
图片尺寸900x1200
皮肤科#水痘 @抖音小助手 @皮肤科教授张堂德 @皮肤科教 - 抖音
图片尺寸1920x1440
水痘.打了疫苗,还是长了,跟手足口很像,但我们口腔没有长,水 - 抖音
图片尺寸1920x1440
水痘图片
图片尺寸597x398
水痘是一种由水痘带状疱疹病毒引起的感染.
图片尺寸533x800
卡波西水痘样疹的症状和图片 - 有来医生
图片尺寸400x300
中招了,游泳需要注意.发现这种水痘立马就医,刚开始只有一个, - 抖音
图片尺寸1080x1920
春季常见的小水疱,是癣?湿疹?疱疹?
图片尺寸964x695
水痘年年有战痘知识要知道
图片尺寸660x378
一文盘点水痘相关的 9 个问题_小时_治疗_隔离
图片尺寸947x624
警惕,90% 成人都会感染这种病毒,出现症状,一定要远离孩子
图片尺寸1000x665
春季水痘高发,如何给孩子预防护理?
图片尺寸960x374
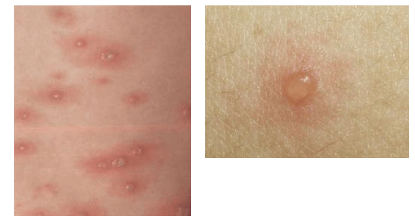
皮肤病水花长什么样子
图片尺寸1452x968
种痘样水疱病的症状和图片 - 有来医生
图片尺寸400x300
我市7-12岁儿童可免费接种水痘疫苗啦!
图片尺寸841x453
水痘是由水痘-带状疱疹病毒引起的一种传染性疾病,主要发生在儿屯和
图片尺寸1080x1920