浸润图片

病理视角乳腺浸润性小叶癌
图片尺寸1080x810
润湿性图片
图片尺寸450x300![【病例讨论】病理:皮下纤维组织增生伴血管周淋巴细胞浸润 [病例帖]](https://imgs.wantubizhi.com/img/A1A61BAA66193547F3A6DD7D8EE527E946502AC72162E0B0A326F6B4A7A8D42E705A99B8E563C9536B6FC4047F75A38BE657F547839EB34288ADD06BBBF3ED979A9893F5427AEE751CA38CD80FBC60F9F23DD53191F8D239C7C38F79346E8D07)
【病例讨论】病理:皮下纤维组织增生伴血管周淋巴细胞浸润 [病例帖]
图片尺寸640x480
【原创】(罕见)小儿白血病皮肤浸润,睾丸浸润图片
图片尺寸1500x1125
绒毛膜板大量急性炎症细胞浸润,伴局部坏死.
图片尺寸1200x1200
乳腺 浸润癌3级讨论病例2019.3.13【中美加乳腺病理交流群病例327】
图片尺寸4608x3456
绒毛膜板血管壁较多量急性炎症细胞浸润.
图片尺寸1200x1200
子宫颈浸润性鳞状细胞癌浸润的判断和测量
图片尺寸1080x599
膝关节附近浸润性斑块,病理示肉芽肿性炎症
图片尺寸888x665
提供甲状腺1例(甲状腺嗜酸细胞肿瘤,伴灶性浸润)
图片尺寸1024x768
微小浸润癌会复发吗
图片尺寸1080x810
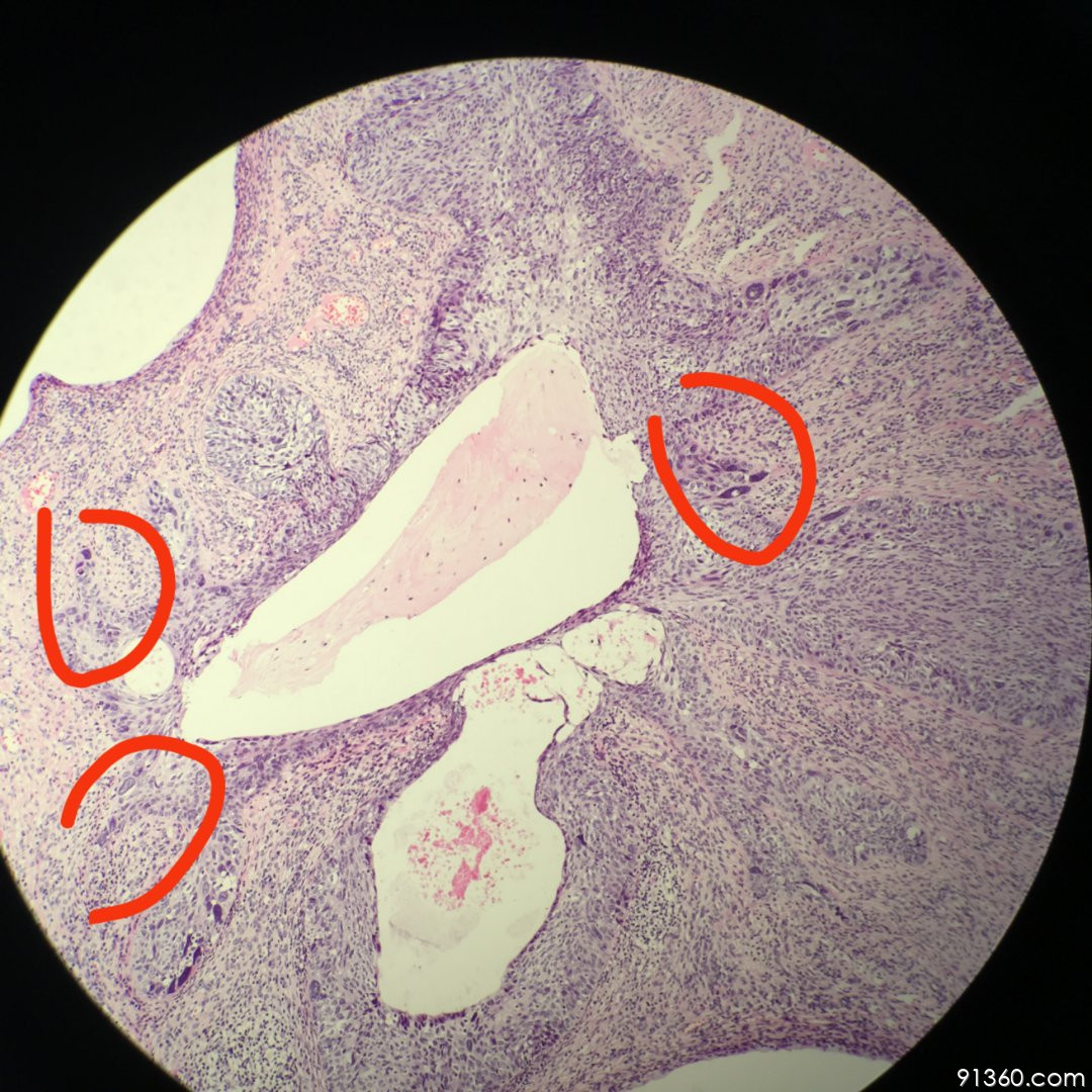
浸润?【中美加宫颈病理交流群病例1084】
图片尺寸1080x1080
乳腺 浸润癌3级讨论病例2019.3.13【中美加乳腺病理交流群病例327】
图片尺寸4608x3456
宫颈累腺还是浸润?讨论病例【中美加 子宫内膜病理交流群561】
图片尺寸1730x2313
隆突性皮肤纤维肉瘤,瘤体浸润,侵犯脂肪组织(深海潜水)
图片尺寸1600x1200
乳腺 浸润癌3级讨论病例2019.3.13【中美加乳腺病理交流群病例327】
图片尺寸4608x3456
浸润
图片尺寸220x160
宫颈累腺还是浸润?讨论病例【中美加 子宫内膜病理交流群561】
图片尺寸4032x3016
病例分享:血管内大 b 细胞淋巴瘤肾小球内浸润一例
图片尺寸534x405
乳腺 浸润癌3级讨论病例2019.3.13【中美加乳腺病理交流群病例327】
图片尺寸4608x3456