涎石症

嘴里的石头也疯狂涎石症
图片尺寸635x595
中心医院口腔科副主任医师,微博@魔术牙医徐勇刚作者患典型的"涎石症"
图片尺寸880x880
组织已开始红肿,原来是导管结石导致的炎症,也就是平常所说的"涎石病"
图片尺寸960x960
巨大颌下腺导管涎石1例
图片尺寸306x235
涎石症怎么回事?涎石症会影响唾液排出,还会疼痛……怎么预防?
图片尺寸600x413
该研究回顾了200例在2006年1月~2015年6月接受口内去除涎石手术患者的
图片尺寸446x500
涎石病
图片尺寸220x150
先生就遇到这样的奇事,不是发炎不是感染,而是他从未听说过的"涎石症"
图片尺寸700x933
涎石病:幽静小路尽头的华灯
图片尺寸439x332
颌下腺巨大涎石
图片尺寸680x907
颌下腺巨大涎石
图片尺寸680x907
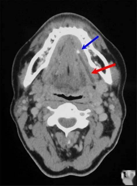
涎石症影像学诊断
图片尺寸472x640
下巴硬硬的竟然是长了结石医生这是涎石症
图片尺寸1080x1416
涎石症影像学诊断
图片尺寸1024x879
舌下区黏膜肿块是何原因
图片尺寸194x176
颌下腺巨大涎石
图片尺寸680x907
口腔颌面外科
图片尺寸308x342
大概是颌下腺,涎石病? 就是有点太大了.也可能是颌下腺钙化性病变.
图片尺寸798x718
涎石病症状有哪些?
图片尺寸494x405
涎石病幽静小路尽头的华灯
图片尺寸640x480