淋巴结结核病理切片

左锁骨上窝,淋巴结结核,2016/12/07【河南病理交流群病例5】
图片尺寸1334x1001
淋巴结切片.jpg
图片尺寸2051x2061
淋巴结结核病理同学群病例49
图片尺寸1280x960
淋巴结结核的组织病理学
图片尺寸1200x800
淋巴结结核的组织病理学
图片尺寸1200x800
左锁骨上窝,淋巴结结核,2016/12/07【河南病理交流群病例5】
图片尺寸1334x1001
左锁骨上窝,淋巴结结核,2016/12/07【河南病理交流群病例5】
图片尺寸1334x1001
左锁骨上窝,淋巴结结核,2016/12/07【河南病理交流群病例5】
图片尺寸1334x1001
左锁骨上窝,淋巴结结核,2016/12/07【河南病理交流群病例5】
图片尺寸1334x1001
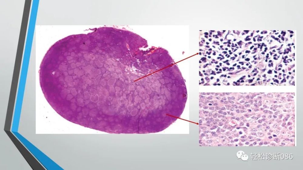
结核球(淋巴结结核伴钙化,多组淋巴结反应性增生)
图片尺寸1235x639
腹股沟淋巴结,aitl,2017/2/21【河南病理交流群病例1】
图片尺寸3264x2448
左锁骨上窝,淋巴结结核,2016/12/07【河南病理交流群病例5】
图片尺寸1334x1001
淋巴结he切片的规范化制作
图片尺寸1000x563
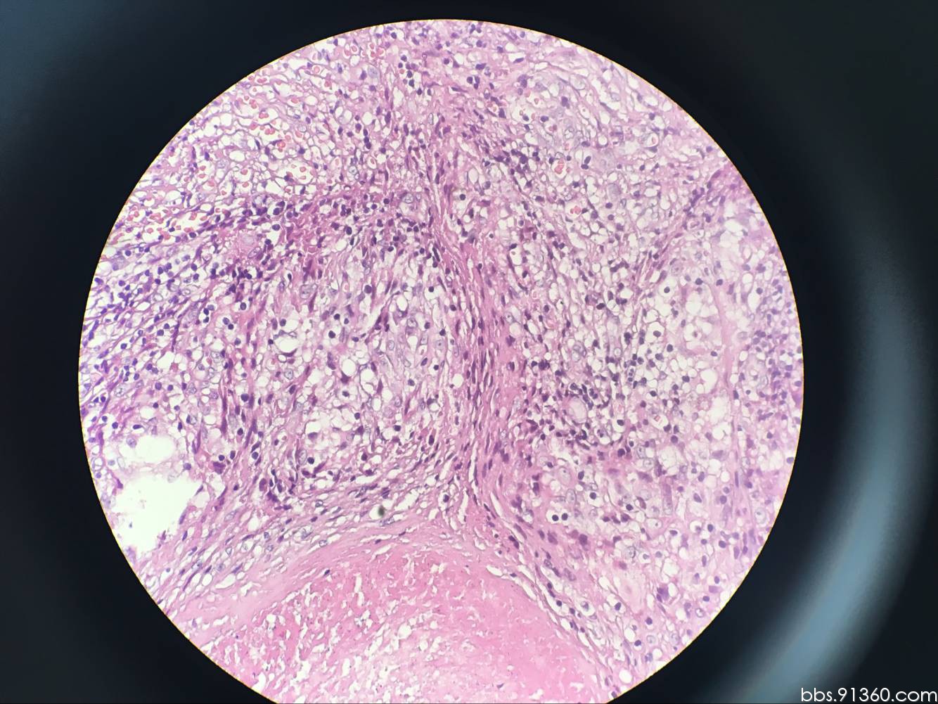
颈部淋巴结 - 淋巴造血系统 - 91360病理论坛
图片尺寸4032x3024
左锁骨上窝,淋巴结结核,2016/12/07【河南病理交流群病例5】
图片尺寸1334x1001
颈部淋巴结 - 淋巴造血系统 - 91360病理论坛
图片尺寸4032x3024
淋巴结结核
图片尺寸570x167
左锁骨上窝淋巴结结核20161207河南病理交流群病例5
图片尺寸300x300
左颈淋巴结(会1704)-alcl - 专科病理>>淋巴组织 - 华夏病理网
图片尺寸965x724
淋巴结炎? - 华夏病理网论坛
图片尺寸1440x1080