淋巴转移

淋巴结转移
图片尺寸447x902
舌癌晚期-颈淋巴结转移(附图) - 好大夫在线
图片尺寸900x758
哈医大二院胸外科经典病例之肺癌患者颈部淋巴结交叉转移 - 好大夫
图片尺寸2208x2190
罕见病例:甲状腺癌咽旁淋巴结转移本中心第7例(15年8月起)
图片尺寸3648x2736
被蜜蜂蛰了之后,毒素转移,眼部消下去了,淋巴结却肿大了,家有 - 抖音
图片尺寸1440x1440
恶性淋巴瘤的转移是怎么样的
图片尺寸362x240
淋巴转移
图片尺寸800x819
转移淋巴结的状态
图片尺寸449x251
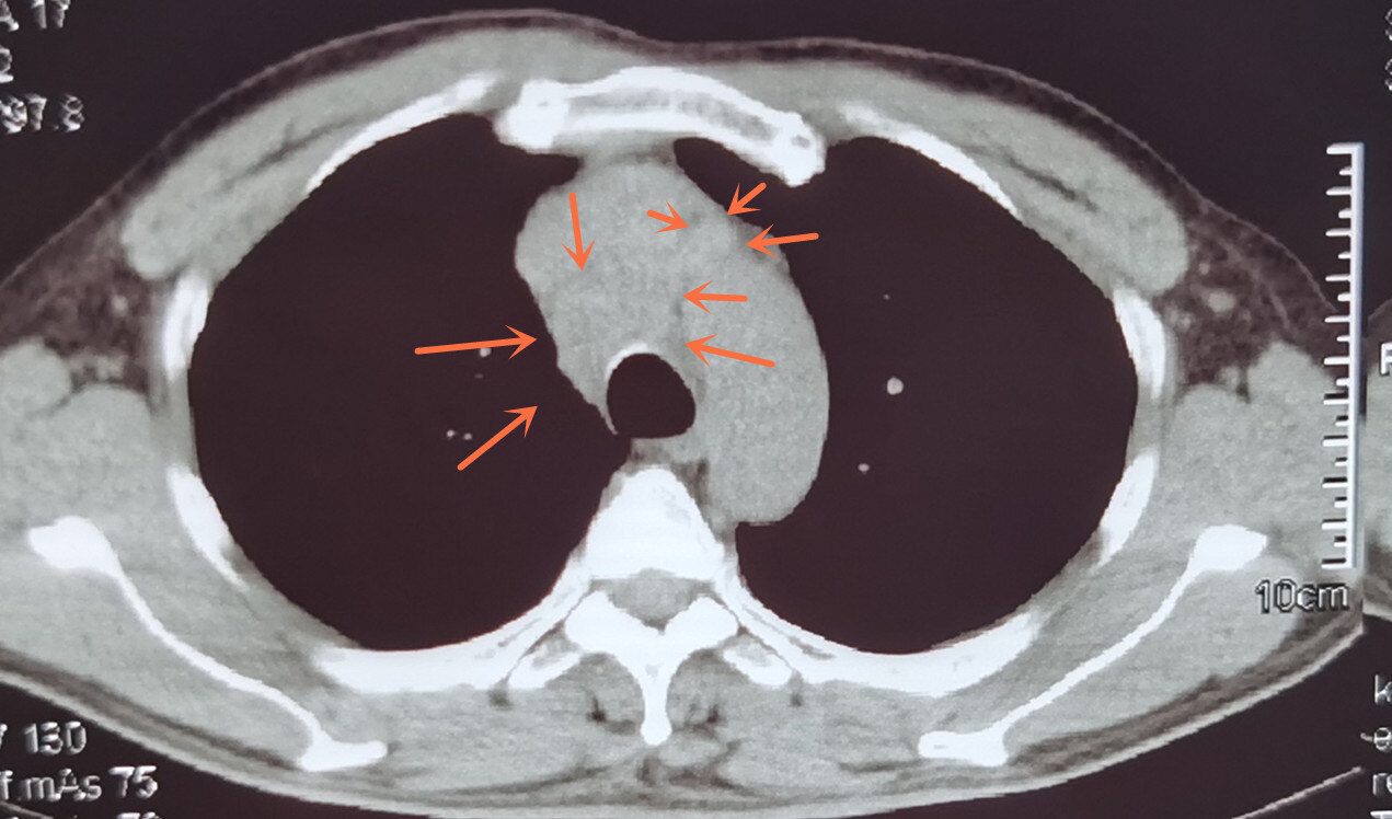
纵隔淋巴结转移.jpg
图片尺寸1271x748
肺癌纵隔淋巴结转移研究进展 new.doc
图片尺寸792x1120
鼻咽癌的颈部淋巴结转移【参考】.docx 9页
图片尺寸792x1120
淋巴结转移癌课件
图片尺寸920x517
我的门诊故事#【淋巴瘤术后淋巴结转移,中医软坚散结,扶助中气,临床
图片尺寸1707x1280
皮肤恶性黑色素瘤发生淋巴结转移后的伤口治疗
图片尺寸2287x2295
甲状腺癌咽旁淋巴结转移_甲状腺癌_甲状腺癌治疗方式 - 好大夫在线
图片尺寸1200x1600
胃癌并腹膜后淋巴结转移治疗 - 好大夫在线
图片尺寸1280x960
下咽鳞状细胞癌颈部淋巴结转移
图片尺寸1080x1440
甲状腺癌外院术后颈部及纵隔淋巴结转移侵及右无名静脉上腔静脉瘤栓
图片尺寸3648x2736
肾癌淋巴结转移 - 好大夫在线
图片尺寸932x881
怎么判断淋巴结肿大是癌转移(肿大淋巴结有这4个特点)(3)
图片尺寸512x403