深覆颌

深覆颌想要进行牙齿矫正
图片尺寸2048x1365
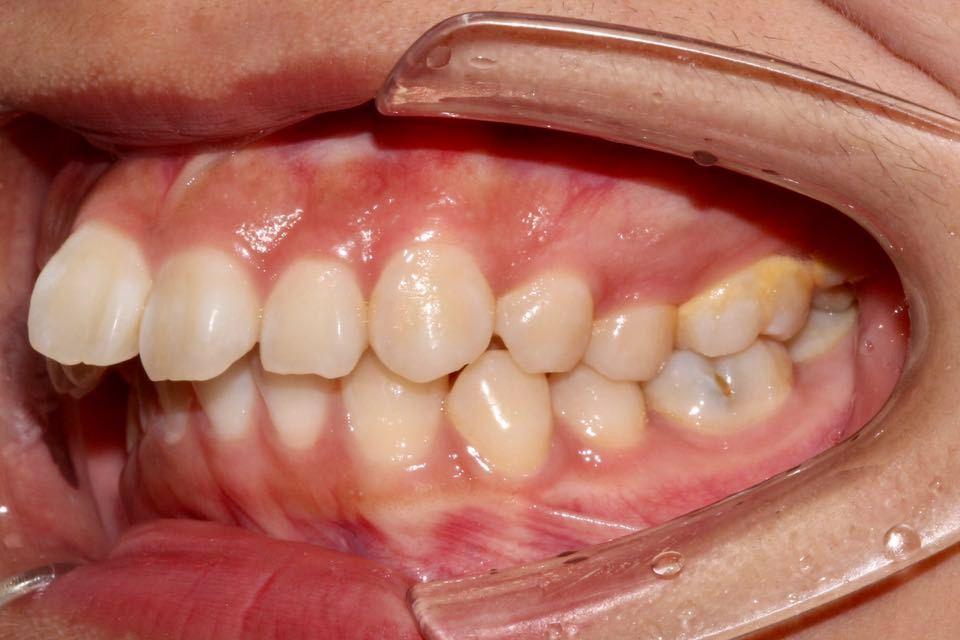
检查:安氏iii类,骨性i类,凸面型,低角,深覆盖iii度,深覆颌ii度,牙弓尖
图片尺寸960x640
深覆颌需要正畸吗?需要拔牙矫正吗?
图片尺寸637x383
骨性深覆颌 虎牙不齐,拔牙矫正改善全过程你了解吗?
图片尺寸852x479
闭锁型深覆颌矫正.
图片尺寸1920x1080
深覆颌是什么有什么危害
图片尺寸1242x1660
郑州时代天使矫治内倾性深覆合案例分享
图片尺寸1836x900
项目深覆颌
图片尺寸275x343
什么是深覆合深覆合该怎么去矫正呢
图片尺寸640x523
深覆颌矫正牙齿会改变脸型么?
图片尺寸720x1351
骨性,深覆颌,深覆盖,高角安氏2类,32--34岁大妈牙套2年效果
图片尺寸1230x1484
龅牙是深覆颌还是深覆盖两者如何区分
图片尺寸380x250
深覆合具体情况如下:早期矫治的目标有限,早期矫治仅在牙颌面某一生长
图片尺寸550x180
深覆颌侧面
图片尺寸600x400
轻微深覆颌
图片尺寸600x391
牙齿深覆合需要治疗吗
图片尺寸426x229
天包地
图片尺寸259x253
深覆合深覆盖.jpg
图片尺寸350x259
前牙深覆颌牙齿不平整图
图片尺寸750x500
郑州牙齿矫正闭锁性深覆颌矫正案例
图片尺寸2048x1517