滋养孔

系列篇解剖图谱2骨的知识
图片尺寸1080x720
滋养孔
图片尺寸220x156
滋养孔
图片尺寸220x142
骨髓的功能与作用
图片尺寸600x446
带血管蒂腓骨瓣移植下颌骨重建术
图片尺寸300x447
【健康课堂】狗狗猫猫骨折固定技术及失败原因分析
图片尺寸325x375
恐龙不是冷血动物科学家又有新发现
图片尺寸550x364
pdf 7页
图片尺寸792x1131
复盘解剖学的第一天73
图片尺寸1080x1439
定位,预备取骨区预备滋养孔,取下骨块自体骨块移植
图片尺寸481x533
影像核医学
图片尺寸900x700
我们只知道谁生病了但不知道为什么会生病
图片尺寸290x324
经典解剖 | 组织 :结缔和支持组织(二)
图片尺寸563x456
手术技巧:带血管蒂游离腓骨获取技术 - 好大夫在线
图片尺寸640x513
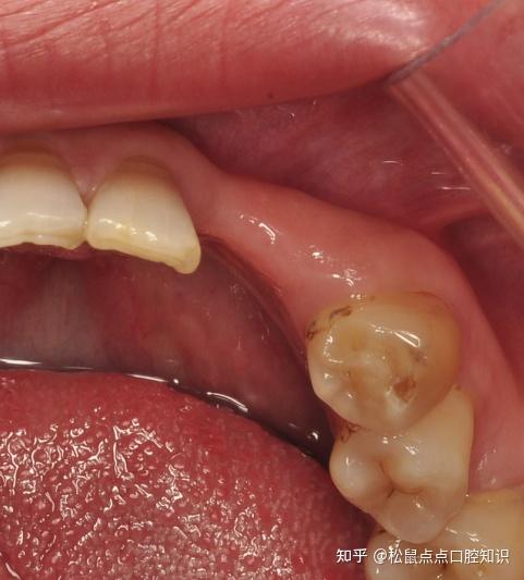
牙医学堂困难重重的垂直补骨一例
图片尺寸1080x859
骨块
图片尺寸225x300
牙科张力梳皮瓣减张器gbr组织切口张力释放缝合工具张力刷 滋养孔
图片尺寸800x800
预备滋养孔,取下骨块自体骨块移植固位植骨盖膜关闭
图片尺寸502x557
慎入英超再现90度恐怖断腿不禁让我们想起了西塞登巴巴邹正
图片尺寸660x662
5mm深度先锋钻皮定位钻侧切正畸支抗钉钻头
图片尺寸800x800