满心都是你的CT图片

一分钟拍出适合微信会诊的ct影像 - 好大夫在线
图片尺寸1080x1440
摔了一跤医生为什么让我做ct这件事貌似奇葩其实在偷偷保护你
图片尺寸986x611
心脏的搏动和血液流动的仪器,对比心脏普通的超生或ct,心脏彩超具有其
图片尺寸550x367
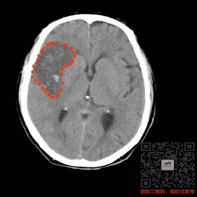
为什么不建议做"脑ct"检查?医生告诉你,早知早受益
图片尺寸1280x884
胸闷气短,总喘不过来气,总是觉得短半口气,到医院拍了ct和心 - 抖音
图片尺寸1920x1920
做一次ct,对身体的伤害有多大?
图片尺寸512x487
求助帮我看看这张ct - 心血管 - 专业医生社区,医学,药学,生命科学
图片尺寸1040x780
掌握胸部 ct 影像,你只差这一个图谱的距离
图片尺寸640x480
都帮你整理好啦一些特别要注意的心血管ct影像征象
图片尺寸640x425
做一次ct,对人体的伤害有多大?多少次会致癌?医生告诉你答案
图片尺寸1280x853
一些特别要注意的心血管ct影像征象
图片尺寸640x480
ct报告上注意这个字眼!很可能是癌,不要掉以轻心!
图片尺寸1080x610
肺ct报告上的这句话要警惕了,大概率是肿瘤,千万不能掉以轻心!
图片尺寸660x492
执医技能ct阅片速成让你秒懂
图片尺寸640x640
正常胸部ctppt
图片尺寸1080x810
每天学一张ct片(31期)
图片尺寸640x446
蓝箭头:左心室 正常情况下,心室内血流的ct值应该与心肌是差不多的
图片尺寸633x479
一分钟拍出适合微信会诊的ct影像 - 好大夫在线
图片尺寸1080x1440
ct报告中这些"字眼"都在提醒你,癌细胞可能已经转移了!
图片尺寸831x461
ct图像总有异物?老司机教你一招,连ge培训师都不知道的秘诀!
图片尺寸1080x810