烤瓷牙修复

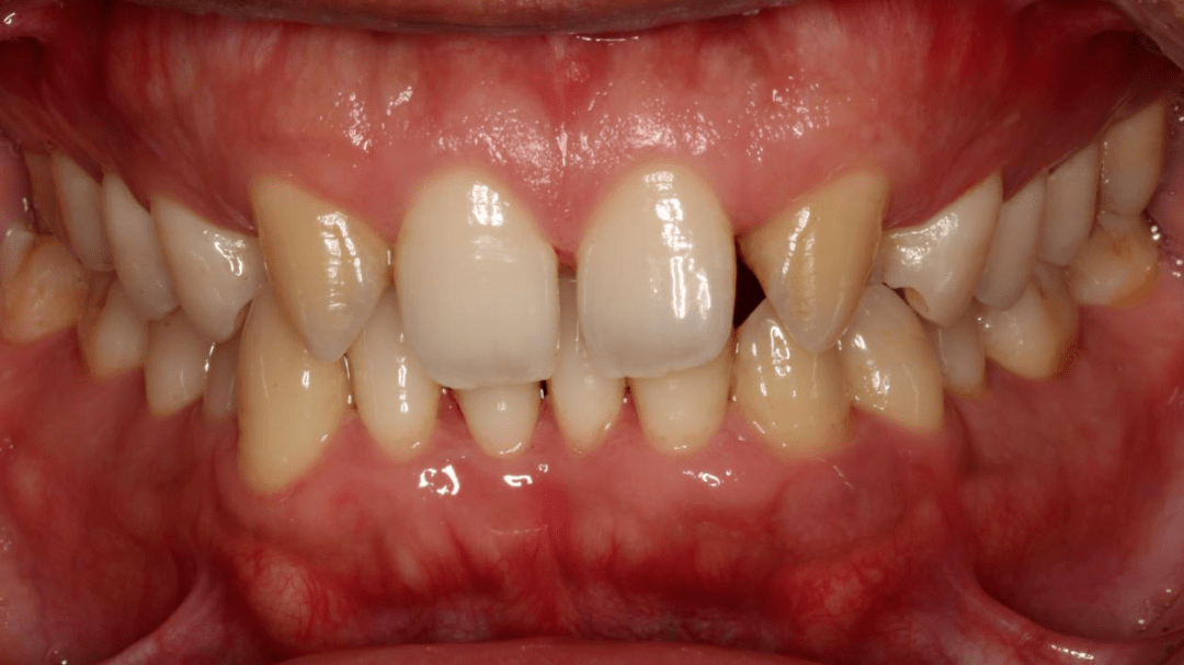
一例前牙烤瓷冠桥再修复病例
图片尺寸2160x1265
首先,对于根管治疗后的患牙牙齿变色一般采取冠修复,活髓牙的牙齿缺损
图片尺寸4928x3264
【病例展示】——前牙烤瓷冠修复--张文鑫
图片尺寸620x410
普通钴铬烤瓷冠修复上前牙冠折一例--汪琳
图片尺寸620x411
门牙用烤瓷牙好还是全瓷牙好?
图片尺寸600x336
全瓷牙冠修复前牙缺损1例 - 好大夫在线
图片尺寸5144x2368
烤瓷牙修复
图片尺寸500x261
典型病例:全瓷冠修复 - 好大夫在线
图片尺寸1280x720
一例前牙烤瓷冠桥再修复病例
图片尺寸2160x1440
烤瓷牙崩瓷修复
图片尺寸720x477
前牙全瓷冠再修复
图片尺寸1675x861
金属烤瓷全口修复案例 - 案例精华 - 牙匠之家
图片尺寸2048x1414
临时冠修复二2.置入根管纤维桩,牙体预备1.
图片尺寸2352x1568
一例前牙烤瓷冠桥再修复病例
图片尺寸2160x1440
口腔专业讨论版 修复|牙科工艺
图片尺寸3230x1876
烤瓷牙修复前后对比
图片尺寸400x400
深圳全瓷烤瓷牙一颗多少钱
图片尺寸535x224
病例前牙烤瓷贴面修复一例
图片尺寸1080x607
前牙牙髓坏死后漂白全瓷桩冠修复
图片尺寸826x1436
上前牙不良修复体拆除后烤瓷冠修复
图片尺寸625x417