牙冠发黑

烤瓷牙牙龈发黑怎么办?
图片尺寸950x625
怎么洗黑牙(牙黑用什么洗)
图片尺寸554x333
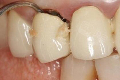
牙冠边缘为何会变黑?
图片尺寸500x308
牙齿发黄发黑怎么办
图片尺寸4475x2421
口内无龋齿,无烤瓷冠修复,从小牙龈就是这样,什么原因?
图片尺寸4095x2719
瓷牙,不管是内冠还是饰面都是用的陶瓷材料,因此牙冠的透明性更好一些
图片尺寸450x296
牙龈黑是怎么回事啊好像从我有记忆时就发现是黑色的了
图片尺寸1536x2048
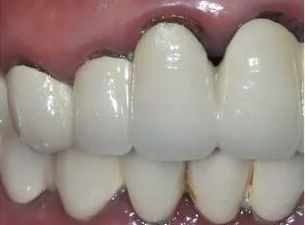
牙齿出血,口腔异味怎么办?
图片尺寸800x405
龈缘变黑全瓷冠的再次处理 上海市口腔医院 修复科 包向军
图片尺寸1559x775
烤瓷牙冠黑线明显
图片尺寸500x372
牙齿发黑发暗说明你的牙齿正在逐渐坏死
图片尺寸330x220
帮我看看我这个烤瓷牙牙龈有点发黑?要怎么解决啊?怎么办啊?
图片尺寸535x356
牙齿发黑牙贴面和美容冠哪个好杭州做一颗牙贴面要多少钱
图片尺寸400x400
牙齿发黑怎么办 求医生 帮忙
图片尺寸780x1040
四环素牙全口牙色黑做烤瓷牙的案例(图)
图片尺寸300x200
做了烤瓷牙我不想活了,烤瓷牙套里面牙烂光了!
图片尺寸500x333
不知道什么时候牙龈边上突然发黑了,本来和牙齿一个颜色的烤瓷牙冠
图片尺寸305x225
它已经走下神坛了|义齿|全瓷牙|牙冠|牙周_网易订阅
图片尺寸660x394
戴全瓷牙套的危害有哪些,听说全瓷牙套里的牙会烂是真的?
图片尺寸400x267
牙齿发黑图片6
图片尺寸436x464