牙冠牙根

复杂根管治疗残冠根管治疗一例
图片尺寸1080x810
例前牙残根桩核全瓷冠修复
图片尺寸609x412![上前牙龈缘曲线严重失调患者的冠修复一例 [病例帖]](https://imgs.wantubizhi.com/img/A1A61BAA66193547F3A6DD7D8EE527E93345A960BA7DC686DD0B6181E8B9801A1D2A1EA434E58A271676219B8C0DE3A6BEEF84769B9E755E0AACE1ECE0D276D12300747298476E30937C14402307959895E0CD3D9AE7A8CA0AA6247FDCDB29A5)
上前牙龈缘曲线严重失调患者的冠修复一例 [病例帖]
图片尺寸2078x3157
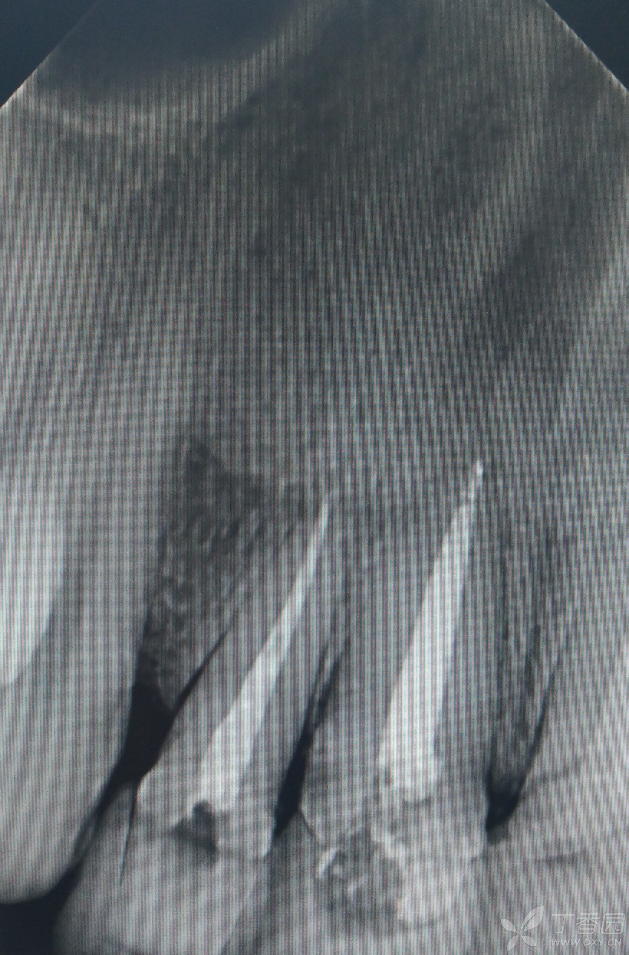
左上后牙残冠显微根管再修复一例
图片尺寸1080x624
后牙残冠分体桩核修复
图片尺寸1600x1200
一例后牙cadcam全瓷冠
图片尺寸1024x768
我的两颗牙齿的牙根外露,遇冷热酸甜食物都疼,该咋办啊?(有高清图)
图片尺寸500x375
但牙齿并不是一点也不能移动,因为在牙根和牙槽骨之间还有一层主要由
图片尺寸369x400
牙冠才能保护里面的原牙,要不然牙根裂开
图片尺寸640x331
2. 牙冠部分大量缺失,仅剩余牙根部位则称之为残根.
图片尺寸620x412
根管治疗后有必要做牙冠?第一个疗程咀嚼是没感觉?看医生怎么说
图片尺寸510x309
乳牙根管治疗后也可进行冠套修复
图片尺寸1200x1600
后牙冠修复
图片尺寸1630x1079
根管后坚决不做牙冠?一颗全瓷牙要多少钱你都不做等牙裂?
图片尺寸500x500
牙冠和牙根
图片尺寸458x473
牙医学堂前牙冠根折的修复
图片尺寸962x646
可以保留的牙根需要怎么治疗?
图片尺寸460x342
戴烤瓷牙的牙根
图片尺寸500x334
根管治疗以后一定要做牙冠,小伙伴要记住哦
图片尺寸662x662
牙冠修复图片
图片尺寸450x300