牙列缺损图片

牙列缺损上半口即刻负重一例
图片尺寸583x328
【临床实例】上牙列缺损伴慢性牙周炎牙齿移位一例
图片尺寸374x218
牙列缺损概述ppt
图片尺寸1080x810
牙列缺损的病因
图片尺寸500x236
病例重度牙列缺损种植固定修复病例
图片尺寸500x340
【临床实例】上牙列缺损伴慢性牙周炎牙齿移位一例
图片尺寸414x261
牙列缺损上半口即刻负重一例
图片尺寸1080x605
种牙贵么?缺一颗感觉没影响,我就想再等等等等等等
图片尺寸1258x858
牙列缺损概述ppt
图片尺寸1080x810![【病例讨论】一例复杂牙列缺损的修复(「口腔病例征集」) [病例帖]](https://imgs.wantubizhi.com/img/A1A61BAA66193547F3A6DD7D8EE527E9A84846860861E0093AE4C96A60DC693EF5929AD8D2D0A4BAF4C9BFA6BD10B7DEB37136507DE9DF682DBF5BB6CDE2C16BD64F9F2EF1DD891722B2E52582B8C6270B14DD2E76F6A84C997D9A889CE27C4B)
【病例讨论】一例复杂牙列缺损的修复(「口腔病例征集」) [病例帖]
图片尺寸429x303
上颌牙列缺失种植固定全瓷修复一例
图片尺寸640x400
了解牙列缺损的常见原因
图片尺寸640x427
牙列缺损上半口即刻负重一例
图片尺寸586x330
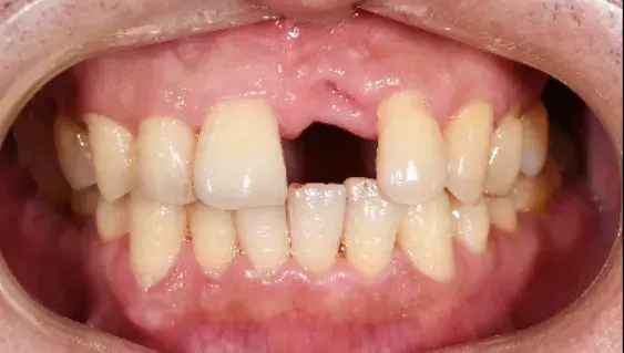
诊断:21牙牙列缺损· 术前cbct检查:缺牙区牙槽骨高度正常,宽度不足
图片尺寸563x319
牙列缺损上半口即刻负重一例
图片尺寸1080x605
牙列缺损上半口即刻负重一例
图片尺寸601x339
牙列缺损怎么办?
图片尺寸2000x1333
武汉仁爱口腔种植案例全口种植解决牙齿缺失颇受患者好评
图片尺寸639x426
浅谈楔状缺损的原因可能是刷牙不正确
图片尺寸400x293
牙列缺失的修复种植固定义齿
图片尺寸720x540