牙周病的主要症状图片

牙周炎图片_牙周炎症状表现图片大全_有来医生
图片尺寸863x500
牙周病的局部促进因素---牙石_牙周病_介绍_发病原因_症状表现 - 好
图片尺寸6000x4000
牙周炎图片_牙周炎症状表现图片大全_有来医生
图片尺寸800x508
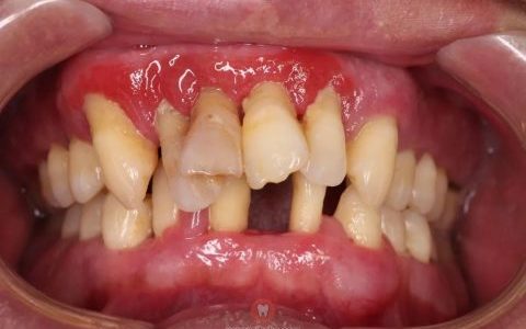
牙周炎图片_牙周炎症状表现图片大全_有来医生
图片尺寸652x500
重度氟牙症伴牙周病患者(患者症状:牙体釉面缺损严重,冷热刺激 - 抖音
图片尺寸911x468
吉林大学教案《牙周病学》第七章 牙周病主要症状.pdf
图片尺寸792x594
牙周病的高发人群都有哪些?
图片尺寸500x375
牙周病到底是什么严重吗10秒自检牙周病的方法
图片尺寸629x377
牙周炎是多因素疾病,微生物是引发慢性牙周炎的始动因子.
图片尺寸448x379
牙周病主诉症状
图片尺寸480x384
牙周病怎么治疗?
图片尺寸500x375
引起牙齿松动的原因有很多,而对于 牙周炎也会引起牙齿松动的症状
图片尺寸500x314
牙周炎吃什么消炎药
图片尺寸500x290
一般情况下,牙龈出血常见于牙周炎的早期——牙龈炎.
图片尺寸640x451
牙周病的症状图片
图片尺寸500x333
牙周炎是多因素疾病,微生物是引发慢性牙周炎的始动因子.
图片尺寸489x379
牙周炎图片_牙周炎症状表现图片大全_有来医生
图片尺寸558x500
牙周炎图片_牙周炎症状表现图片大全_有来医生
图片尺寸1079x500
牙周炎图片_牙周炎症状表现图片大全_有来医生
图片尺寸805x500
牙周炎好发于口腔卫生习惯差的人群;牙周炎的患病率和严重性随年龄
图片尺寸480x300