牙周膜损伤图片

孩子12岁避让倒车 摔倒把门牙磕掉俩颗,裂缝俩颗
图片尺寸4160x3120
001.jpeg
图片尺寸4704x1470
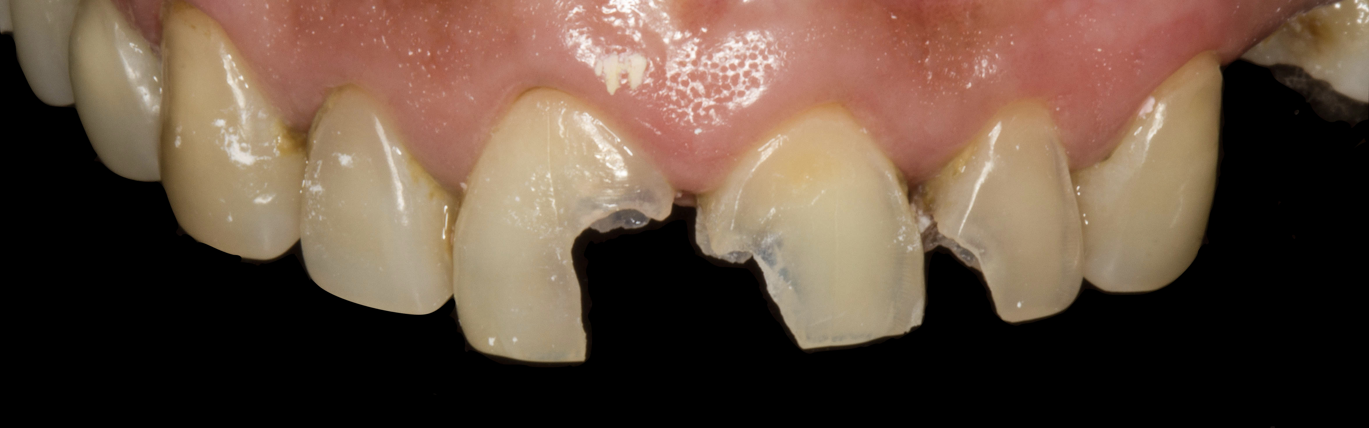
牙周组织外伤,右上中切牙部分脱位,左上中切牙挫入,左上侧切牙
图片尺寸462x258
糖尿病专科医生责无旁贷
图片尺寸600x1310
北京牙磨损专家_北京治疗牙磨损哪个专家好_北京治疗
图片尺寸603x400
牙齿外伤
图片尺寸2976x2976
一例侵袭性牙周炎患者牙周种植修复治疗的15年随访观察以菌斑控制为
图片尺寸1080x609
非常严重的慢性牙周炎图片
图片尺寸666x500
超级严重的慢性牙周炎图片
图片尺寸666x500
北京牙磨损专家_北京治疗牙磨损哪个专家好_北京治疗
图片尺寸704x400
北京牙磨损专家_北京治疗牙磨损哪个专家好_北京治疗
图片尺寸600x400
前牙外伤后1月,牙周感染明显,即刻种植步骤如何考量?
图片尺寸1280x857
读点重度牙周炎的套筒冠修复病例图
图片尺寸621x297
前牙外伤后1月,牙周感染明显,即刻种植步骤如何考量?
图片尺寸1280x673
重度牙周病 - 好大夫在线
图片尺寸4032x3024
前牙邻面龋损修复1例
图片尺寸3621x2902
松风病例秀f00制作覆盖体磨牙大面积缺损的椅旁间接修复
图片尺寸1080x360
补牙后要装牙套多少钱?
图片尺寸480x675
一例侵袭性牙周炎患者牙周种植修复治疗的15年随访观察以菌斑控制为
图片尺寸1012x566
北京牙磨损专家_北京治疗牙磨损哪个专家好_北京治疗
图片尺寸580x400