牙宣的症状图片

牙宣
图片尺寸450x800
牙齿疼痛是指牙齿因各种原因引起的疼痛而言,为口腔疾患中常见的症状
图片尺寸300x243
三月份的时候牙髓炎做了根管治疗但是后来因为一些原
图片尺寸500x667
孩子牙龈起肿包,却是牙病在作妖
图片尺寸660x490
多图明了通过图片让你的患者了解口腔常见疾病
图片尺寸492x369
挤牙膏不沾水可以刷的更干净牙刷沾水与不沾水有什么区别
图片尺寸640x456
牙龈红肿,如图片,大部分时间是不疼的,偶尔会疼.口干
图片尺寸600x359
问题_方法_中药
图片尺寸1027x577
2岁孩子满嘴"小黑牙",不是糖果惹的祸,而是父母的这种坏习惯
图片尺寸640x427
大埔区牙周炎专家_大埔区治疗牙周炎哪个专家好_大埔
图片尺寸400x533
牙缝疙瘩怎么消下去
图片尺寸390x322
一年前呢,发现自己牙龈有鼓包刚开始以为口腔溃疡后来
图片尺寸640x853
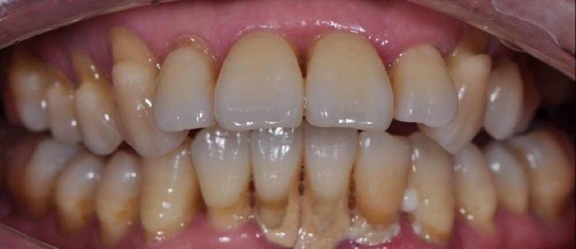
牙周炎图片_牙周炎症状表现图片大全_有来医生
图片尺寸1155x500
根尖周炎
图片尺寸1024x400
太坑了!好牙被拔完了
图片尺寸640x360
五官科偏方牙宣的治疗偏方
图片尺寸400x294
牙龈经常"鼓包",是上火了吗?#叶子口腔科普
图片尺寸640x338
牙周炎图片_牙周炎症状表现图片大全_有来医生
图片尺寸666x500
多图明了通过图片让你的患者了解口腔常见疾病
图片尺寸492x369
儿童起牙宣怎么治疗牙宣病者的症状起牙宣怎么治疗牙宣可以挑破放脓呢
图片尺寸500x276