牙弓夹板

牙弓夹板
图片尺寸1080x809
牙齿的各种"夹板",你见过几个?
图片尺寸1152x720
牙弓夹板
图片尺寸1080x1437
小夹板固定牙齿强化纤维在白色上的三维渲染照片
图片尺寸400x300
见过给牙齿上夹板的么?这次让你看一下!
图片尺寸1152x720
图片a-固定夹板
图片尺寸610x348
口外牙弓夹板
图片尺寸1080x809
正畸材料牙弓夹板 固定 口腔耗材 奥索牙弓夹板 2付装
图片尺寸617x617
诊断 处理 下颌前部牙槽突骨折 处理:牙弓夹板固定骨折,缝合撕裂的
图片尺寸591x394
复合树脂夹板固定的适应症
图片尺寸799x482
见过给牙齿上夹板的么?这次让你看一下!
图片尺寸480x270
="/item/牙齿/1454" data-lemmaid="1454">牙齿 /a>通过夹板互相连接
图片尺寸698x513
脱位牙齿的泥沙冲洗干净,把脱位牙齿放回牙槽窝,并用牙弓夹板将其固定
图片尺寸1055x913
第九节 牙弓夹板单颌复位固定术-口腔颌面外科手术-医学
图片尺寸1120x741
透明保持器;夹板;快速扩弓器;种植引导夹板
图片尺寸400x263
口外带钩牙弓夹板
图片尺寸1920x1080
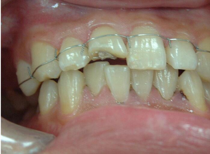
下前牙牙周夹板固定
图片尺寸640x479
请教下老师关于芬力超强纤维牙周夹板固定松动牙齿
图片尺寸334x272
牙齿松动的原因是什么?牙齿松动怎么治疗?
图片尺寸1000x670
金属丝牙弓夹板固定 用于骨折段较大,有移位的病人.
图片尺寸571x184