牙弓是什么位置图片

正畸科普|矫正过程中牙齿为什么会移动?
图片尺寸928x749
上海牙齿矫正牙弓重度狭窄对牙齿和面型有什么影响
图片尺寸2375x3150
位置和顺序排列成的弓形,就叫做牙弓
图片尺寸1242x1656
像矫正不拔牙能矫正过来吗
图片尺寸500x309
会产生什么影响? 牙弓,就是我们的牙列.
图片尺寸997x1280
你的牙弓又是怎样的呢#正畸 - 抖音
图片尺寸887x1747
正畸百科丨口外弓制作与拔牙矫治程序_上颌_远中_位置
图片尺寸720x513
儿童牙弓成长的关键期你了解吗
图片尺寸750x1000
常用牙弓扩展装置 97牙弓长度扩展 73推磨牙向远中 口外弓:由内弓
图片尺寸960x1280
上颚是哪个位置
图片尺寸2151x1434
走出迷"弓",什么是上牙弓狭窄?丨贤医健康说
图片尺寸1080x483
牙弓狭窄参考图
图片尺寸500x282
牙弓宽还是窄的人笑起来更好看呢? - 知乎
图片尺寸2500x2500
牙弓
图片尺寸981x654
牙弓过窄
图片尺寸500x443
牙弓宽度测量
图片尺寸1080x1080
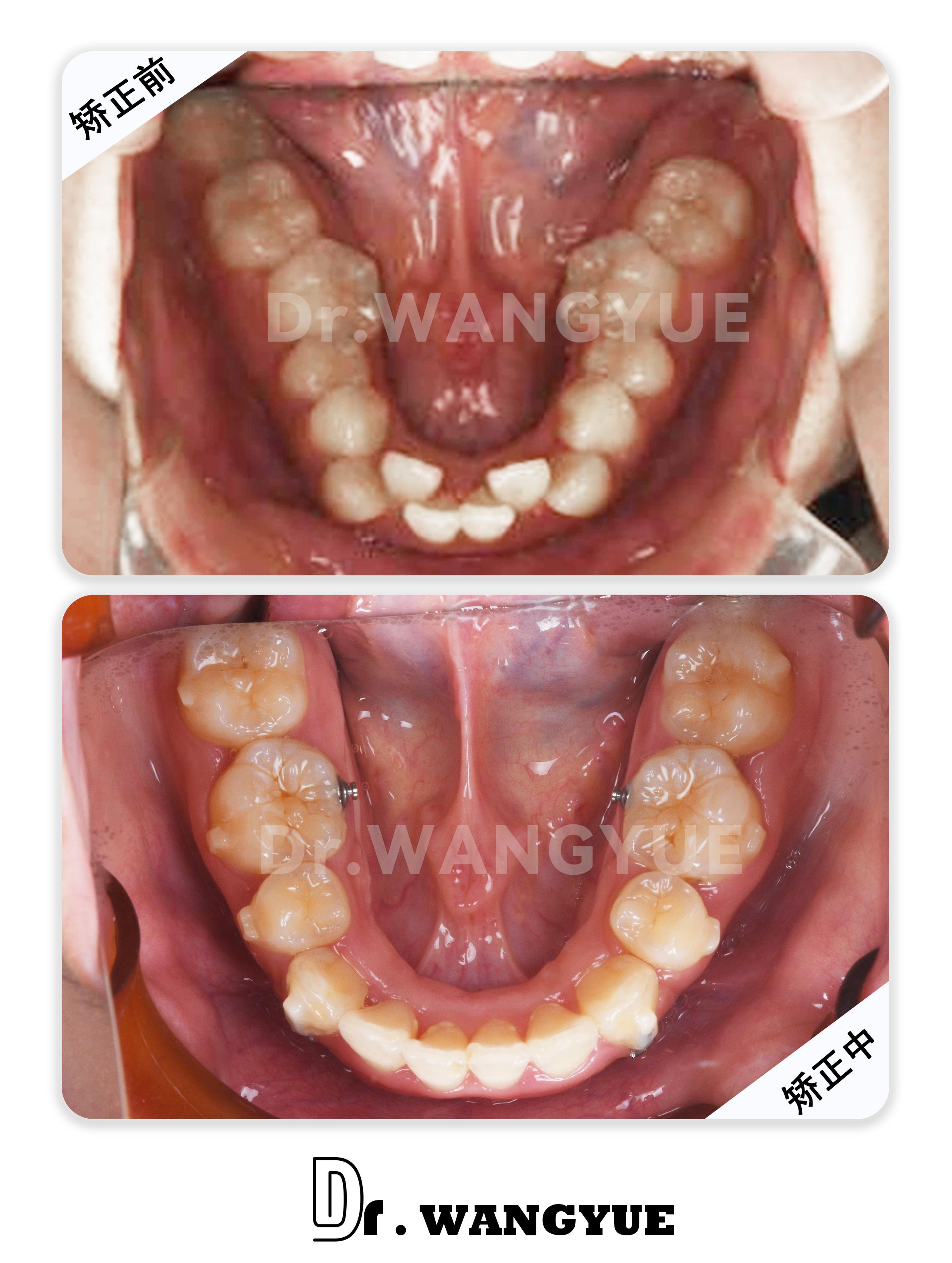
hibeauty隐秀「牙弓狭窄 内倾型深覆合」案例分享 - 知乎
图片尺寸890x974
人体共有两副牙齿,分别是乳牙和恒牙.乳牙有20颗 - 抖音
图片尺寸1080x1393
上颌牙弓狭窄 下颌后缩导出矫正
图片尺寸1080x810
牙 teeth 上牙弓 upper dental arch 恒牙 deciduous teeth 下
图片尺寸1080x810