牙弓狭窄怎么矫正

扩弓十天脸变了牙齿矫正中的扩弓还有这功能?
图片尺寸736x293
【蔡庆玲正畸团队——牙弓狭窄案例】_牙齿矫正_美妆_医美整形
图片尺寸1080x1384
儿童牙齿矫正,你想知道的都在这里!
图片尺寸500x252
轻度拥挤牙弓狭窄牙齿矫正病例 - 好大夫在线
图片尺寸1080x1080
四眼圈簧扩弓矫治上颌牙弓狭窄
图片尺寸680x518
一例全牙弓反合矫治过程分享
图片尺寸640x426
牙齿矫正也有学问,begg细丝弓技术特点你了解多少呢
图片尺寸418x261
吮指导致上骨性前突牙弓狭窄.牙齿矫正 - 抖音
图片尺寸1920x868
扩弓矫正牙齿脸会大吗?不仅不会还能改善美观性哦~_大连口腔科普网
图片尺寸1080x846
隐适美矫正—牙齿拥挤伴牙弓狭窄案例 - 知乎
图片尺寸1146x1248
传动直丝弓矫正成人骨性反颌 - 好大夫在线
图片尺寸3968x2976
牙弓狭窄腭部高拱隐藏的儿童牙颌面部发育异常
图片尺寸627x464
v2-23dcfd146f430923176d7c22f2049013_r.jpg
图片尺寸800x529
案例分享牙弓狭窄萌出空间不足牙齿拥挤拔牙矫正案例
图片尺寸1080x1263
厦门牙齿矫正厦门隐适美
图片尺寸1080x1080
矫正的方式
图片尺寸548x368
四眼圈簧扩弓矫治上颌牙弓狭窄
图片尺寸680x346
常州牙齿矫正张医生
图片尺寸540x720
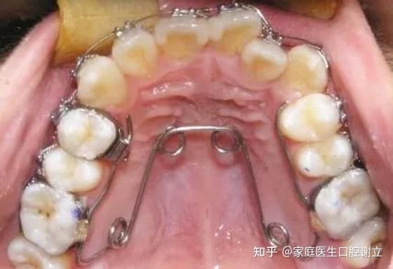
中家医家庭医生口腔牙齿矫正为什么要做扩弓
图片尺寸561x385
大连舌侧矫正|舌侧正畸案例|骨性上颌前突 牙弓狭窄,正畸提升美感!
图片尺寸1800x1800