牙效果图

全瓷贴面效果对比图_亮白牙齿_美牙_美妆_医美整形
图片尺寸1080x1439
阿洛美前牙美学设计中心美牙效果对比图展示
图片尺寸700x687
二氧化锆全瓷牙
图片尺寸892x1920
我也是因为牙黄做了16颗贴面,贴面的材质和效果我是非常认可的,就是
图片尺寸570x760
牙齿贴面-瓷贴面效果图,案例前后对比照片
图片尺寸672x378
我怎么吃不饱03牙齿瓷贴面效果图_更美
图片尺寸404x478
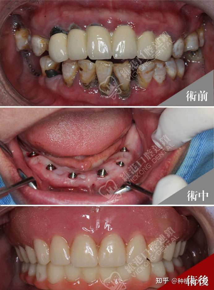
种植牙效果图
图片尺寸706x482
全口种植牙前后效果图
图片尺寸600x360
这严重影响了美观,美白牙膏,牙贴,牙粉这些就算长期使用也未见效果
图片尺寸1000x667
上海隐形矫正好不好_效果图_机器猫的谷故事隐形矫正术后第3天_新氧
图片尺寸570x1174
美国皓圣种植牙效果图
图片尺寸500x375
中老年人做完种植牙效果怎么样?
图片尺寸692x936
上牙突出好难看,矫正后效果好吗?
图片尺寸960x960
美牙效果图
图片尺寸600x600
杭州隐形托槽矫正好不好_效果图_小叶子z隐形托槽矫正术后第0天_新氧
图片尺寸570x570
我知道你们想看效果图 哈哈哈以上是戴牙套四个月的成_圈子-新氧美容
图片尺寸570x570
牙齿美白对比效果图(客图拍摄均原图拍摄)_牙齿美白_美妆_医美整形
图片尺寸1080x1439
大连种植牙好不好_效果图_孙大爷种植牙术后第42天_新氧美容整形
图片尺寸570x760
清洁牙齿洗牙前后对比效果图8078290免抠图片素材
图片尺寸680x680
前门牙做氧化锆全瓷牙的效果图
图片尺寸580x395