牙根发黄

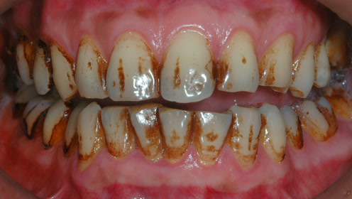
牙齿根部总出现黄色污垢,医生说不用花钱,几分钟就可根除!
图片尺寸636x377
牙齿发黄,又疏.是什么问题?
图片尺寸1024x867
大牙的牙根部有有黄色的牙垢,刷了牙发现还在,指甲轻轻一刮,直接划破
图片尺寸576x768
我今年14岁,牙特别黄,牙根不黄,上面黄大牙还有很多小点的坑,求医生
图片尺寸1280x726
牙齿根部长出又黄又硬的脏东西用3招即可清除干净
图片尺寸640x516
做完刷牙,牙根掉了一小片黄色的东西,感觉牙根有缝,早上拍的照片如下
图片尺寸1616x1384
我的牙齿根部发黄发黑,牙龈覆盖不了,好长时间了,也不疼不痒的.
图片尺寸450x800
放大可以看到切缘处有黄色边缘,这就是牙根里面的桩钉,外面已补好义齿
图片尺寸720x960
发黄牙,还有就是我是火牙牙根都有一点黑有什么办法解决一下?
图片尺寸450x257
烟渍牙又黄又臭?过来人给你支2招!在家随便刷刷黄牙秒变白牙!
图片尺寸1715x1072
每天刷牙,牙根部还是发黄,发黑,我不抽烟,请问是洗牙粉好,还是牙贴好
图片尺寸500x667
牙齿根部总出现黄色污垢?5分钟就能根除,比珍珠还白!
图片尺寸496x280
请问口腔牙齿,牙根内有黑色物,牙根肉向牙根收缩,刷牙这个地方会出血
图片尺寸1024x719
牙黄牙根黑
图片尺寸351x236
牙黄怎么办?美白牙膏有用吗?
图片尺寸682x406
牙齿发黄,有刷不掉的黑渍,也有牙结石口臭,怎么办.
图片尺寸500x667
大神快进来看一下我的牙齿怎么了
图片尺寸788x749
18个月宝宝牙齿根发黄,已经有2颗牙从牙根发黄的地方掉了
图片尺寸1328x747
大黄牙又脏又臭怎么办?过来人无偿分享居家白牙妙招,黄牙瞬间靓白!
图片尺寸988x618
我这牙齿是什么毛病,黄色的地方用指甲戳,感觉软软
图片尺寸772x822